电话:
+86 (0512) 65829739
传真:
+86 (010) 6788 5057
电子邮件:
orders@antibodies-online.cn

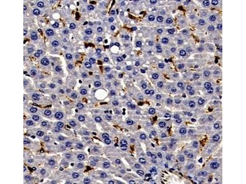
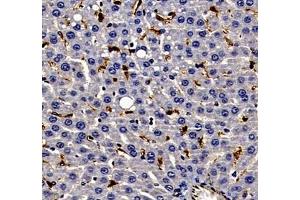
Annexin A3 抗体

The 兔 多克隆 anti-Annexin A3 antibody (ABIN7073065) specifically detects Annexin A3 in WB, IHC 和 IF. The antibody is reactive with 人, 小鼠 和 大鼠 samples.
产品编号 ABIN7073065
发货至: 中国
Contact our Customer Service for availability and price in your country. Contact Info

Our Local Distributor

中国
北京 101111
No. 88 KeChuang 6th Street
Beijing Economic Technological Development Area
Room 801-803
4A Biotech Co.,Ltd.
Tel +86 (0512) 65829739 传真 +86 (010) 6788 5057

Quick Overview for Annexin A3 抗体 (ABIN7073065)

抗原

See all Annexin A3 (ANXA3) 抗体
Annexin A3 (ANXA3)

适用

  • 84
  • 27
  • 22
  • 6
  • 3
  • 3
  • 3
  • 3
  • 2
  • 2
  • 1
人, 小鼠, 大鼠

宿主

  • 76
  • 23

克隆类型

  • 76
  • 21
多克隆

标记

  • 63
  • 13
  • 6
  • 2
  • 2
  • 2
  • 2
  • 2
  • 2
  • 2
  • 1
  • 1
  • 1
This Annexin A3 antibody is un-conjugated

应用范围

  • 74
  • 39
  • 23
  • 19
  • 13
  • 12
  • 9
  • 5
  • 3
  • 3
  • 1
  • 1
  • 1
  • 1
Western Blotting (WB), Immunohistochemistry (IHC), Immunofluorescence (IF)
  • 交叉反应

    人, 大鼠

    纯化方法

    Affinity purification

    免疫原

    KLH conjugated Synthetic peptide corresponding to Mouse Annexin A3/ANXA3
  • 应用备注

    WB (H,R) 1:500-1:1000, IHC/IF (H,M,R) 1:200-1:1000/1:300-1:600

    限制

    仅限研究用
  • 状态

    Liquid

    缓冲液

    PBS, pH 7.4, 0.02 % sodium azide

    储存液

    Sodium azide

    注意事项

    This product contains Sodium azide: a POISONOUS AND HAZARDOUS SUBSTANCE which should be handled by trained staff only.

    储存条件

    -20 °C
  • 抗原

    Annexin A3 (ANXA3)

    别名

    Annexin A3/ANXA3

    背景

    This gene encodes a member of the annexin family. Members of this calcium-dependent phospholipid-binding protein family play a role in the regulation of cellular growth and in signal transduction pathways. This protein functions in the inhibition of phopholipase A2 and cleavage of inositol 1,2-cyclic phosphate to form inositol 1-phosphate. This protein may also play a role in anti-coagulation.

    分子量

    34 kDa

    基因ID

    11745

    NCBI登录号

    NP_038498

    UniProt

    O35639
You are here: