ALDH4A1 抗体
Our Local Distributor
北京 101111
Quick Overview for ALDH4A1 抗体 (ABIN7073000)
抗原
See all ALDH4A1 抗体适用
宿主
克隆类型
标记
应用范围
-
-
交叉反应
- 人, 大鼠
-
纯化方法
- Affinity purification
-
免疫原
- KLH conjugated Synthetic peptide corresponding to Mouse ALDH4A1
-
-
-
-
应用备注
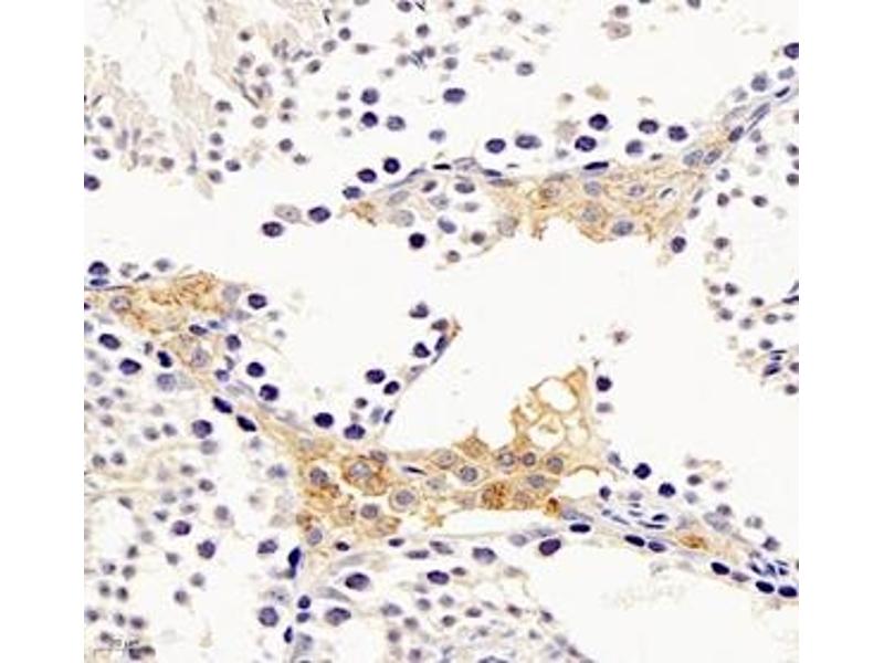
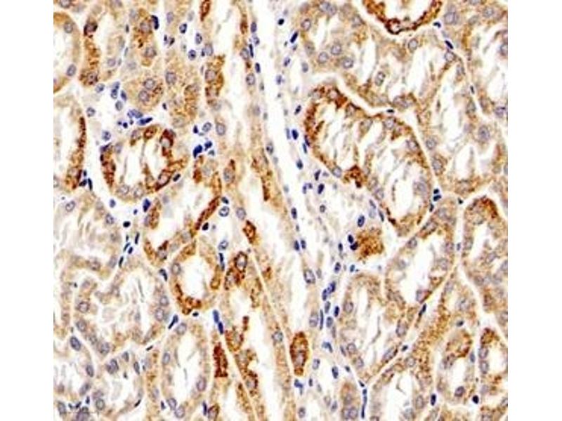
- WB (H,M,R) 1:300-1:600, IHC/IF (H,M,R) 1:1200-1:2400/1:400-1:800
-
限制
- 仅限研究用
-
-
-
状态
- Liquid
-
缓冲液
- PBS, pH 7.4, 0.02 % sodium azide
-
储存液
- Sodium azide
-
注意事项
- This product contains Sodium azide: a POISONOUS AND HAZARDOUS SUBSTANCE which should be handled by trained staff only.
-
储存条件
- -20 °C
-
-
- ALDH4A1 (Aldehyde Dehydrogenase 4 Family, Member A1 (ALDH4A1))
-
别名
- ALDH4A1/P5CDH
-
背景
- ALDH4A1(Aldehyde dehydrogenase family 4 member A1) is also named as ALDH4, P5CDH,P5C dehydrogenase and belongs to the aldehyde dehydrogenase family. P5CDH is a mitochondrial matrix NAD(+)-dependent dehydrogenase which catalyzes the second step of the proline degradation pathway, converting pyrroline-5-carboxylate to glutamate.Defects in ALDH4A1 are the cause of hyperprolinemia type 2 (HP-2).
-
分子量
- 62 kDa
-
基因ID
- 212647
-
NCBI登录号
- NP_780647
-
UniProt
- Q8CHT0
-
途径
- Monocarboxylic Acid Catabolic Process
抗原
-