电话:
+86 (0512) 65829739
传真:
+86 (010) 6788 5057
电子邮件:
orders@antibodies-online.cn

Pro BDNF 抗体 (AA 72-88)

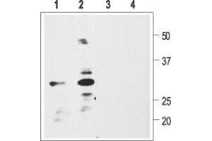
The 兔 多克隆 anti-Pro BDNF antibody is suitable to detect Pro BDNF in samples from 人. It has been validated for IHC, IF, WB 和 IP.
产品编号 ABIN7043558
发货至: 中国
Contact our Customer Service for availability and price in your country. Contact Info

Our Local Distributor

中国
北京 101111
No. 88 KeChuang 6th Street
Beijing Economic Technological Development Area
Room 801-803
4A Biotech Co.,Ltd.
Tel +86 (0512) 65829739 传真 +86 (010) 6788 5057

Quick Overview for Pro BDNF 抗体 (AA 72-88) (ABIN7043558)

抗原

Pro BDNF (proBDNF) (Pro-Brain-Derived Neurotrophic Factor (proBDNF))

适用

宿主

  • 1
  • 1
  • 1

克隆类型

  • 2
  • 1
多克隆

标记

  • 2
  • 1
This Pro BDNF antibody is un-conjugated

应用范围

  • 3
  • 2
  • 1
  • 1
  • 1
Immunohistochemistry (IHC), Immunofluorescence (IF), Western Blotting (WB), Immunoprecipitation (IP)
  • 抗原表位

    AA 72-88

    原理

    A Rabbit Polyclonal Antibody to proBDNF

    特异性

    Pro-domain of the BDNF protein

    交叉反应

    人, 小鼠, 大鼠

    交叉反应 (详细)

    The antibody is specific for proBDNF, it does not crossreact with proNGF, proNT-3 or mature BDNF.

    预测反应

    Mouse,rat - 16,17 amino acid residues identical

    产品特性

    Anti-proBDNF Antibody (ABIN7043558, ABIN7044753 and ABIN7044754) is a highly specific antibody directed against the prodomain region of human proBDNF. The antibody can be used in western blot, immunoprecipitation, and immunohistochemistry applications. It has been designed to recognize proBDNF from human, mouse, and rat samples. The antibody does not cross react with mature BDNF, pro- and mature NGF or mature .

    纯化方法

    Affinity purified on immobilized antigen.

    免疫原

    Immunogen: Synthetic peptide

    Immunogen Sequence: (C)DEDQKVRPNEENNKDAD, corresponding to amino acid residues 72-88 of human BDNF (precursor)

    亚型

    IgG
  • 应用备注

    Antigen preadsorption control: 1 μg peptide per 1 μg antibody

    Application Dilutions Immunohistochemistry paraffin embedded sections ihc: 1:200

    Application Dilutions Western blot wb: 1:200-1:400

    说明

    Positive Control: PCP-B257

    Cited Application: IP|ICC

    Negative Control: (ABIN7236605)

    Blocking Peptide: (ABIN7236605)

    限制

    仅限研究用
  • 状态

    Lyophilized

    溶解方式

    Recosntitute with double distilled water (DDW) to a concentration of 1.0 mg/mL.

    浓度

    1 mg/mL

    缓冲液

    PBS pH 7.4

    储存条件

    4 °C,-20 °C

    储存方法

    Storage before reconstitution: The antibody ships as a lyophilized powder at room temperature. Upon arrival, it should be stored at -20°C.

    Storage after reconstitution: The reconstituted solution can be stored at 4°C for up to 1 week. For longer periods, small aliquots should be stored at -20°C. Avoid multiple freezing and thawing. Centrifuge all antibody preparations before use (10000 x g 5 min).

  • 抗原

    Pro BDNF (proBDNF) (Pro-Brain-Derived Neurotrophic Factor (proBDNF))

    别名

    proBDNF

    背景

    Brain-derived neurotrophic factor precursor,Brain derived neurotrophic factor (BDNF) is a member of the neurotrophin family of growth factors that includes nerve growth factor (NGF), neurotrophin-3 (NT-3) and neurotrophin-4/5 (NT-4/5).All neurotrophins are synthesized as preproneurotrophin precursors that are subsequently processed within the intracellular transport pathway to yield proneurotrophins that are further processed to generate the mature form. The mature form of BDNF is a non-covalent stable homodimer that can be secreted in both constitutive and regulated pathways.Until recently, the functional role of the neurotrophin prodomains were thought to include assistance in the correct folding of the mature protein and the sorting of the neurotrophins into the constitutive or regulated secretory pathway. However, a growing body of evidence suggests that the uncleaved proneurotrophin precursors can be secreted from cells and that they may mediate different biological functions.The functional importance of the prodomain of BDNF was recently demonstrated in a study showing that a polymorphism that replaces valine for methionine at position 66 of the prodomain, is associated with memory defects and abnormal hippocampal function in humans. Another recent study showed that the regulated extracellular cleavage of proBDNF to mature BDNF by plasmin is necessary for establishing late-phase long-term potentiation (L-LTP), a process that involves long-lasting changes in the structure and function of hippocampal synapses. Finally, proBDNF was shown to be decreased in the brains of patients suffering from Alzheimer's disease.Mature BDNF binds to the specific tyrosine kinase receptor TrkB and to p75NTR, a member of the TNF receptor superfamily. proBDNF can similarly bind both receptors although it appears to have a greater affinity for the p75NTR receptor.

    Alternative names: proBDNF, Brain-derived neurotrophic factor precursor

    基因ID

    627

    NCBI登录号

    NM_170735

    UniProt

    P23560
You are here: