电话:
+86 (0512) 65829739
传真:
+86 (010) 6788 5057
电子邮件:
orders@antibodies-online.cn

Phosducin 抗体

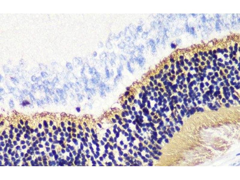
The 兔 多克隆 anti-Phosducin antibody (ABIN7264487) specifically detects Phosducin in WB 和 IHC. The antibody is reactive with 人, 小鼠 和 大鼠 samples.
产品编号 ABIN7264487
发货至: 中国
Contact our Customer Service for availability and price in your country. Contact Info

Our Local Distributor

中国
北京 101111
No. 88 KeChuang 6th Street
Beijing Economic Technological Development Area
Room 801-803
4A Biotech Co.,Ltd.
Tel +86 (0512) 65829739 传真 +86 (010) 6788 5057

Quick Overview for Phosducin 抗体 (ABIN7264487)

抗原

See all Phosducin (PDC) 抗体
Phosducin (PDC)

适用

  • 13
  • 1
  • 1
  • 1
  • 1
  • 1
人, 小鼠, 大鼠

宿主

  • 14
  • 1

克隆类型

  • 15
多克隆

标记

  • 10
  • 1
  • 1
  • 1
  • 1
  • 1
This Phosducin antibody is un-conjugated

应用范围

  • 14
  • 8
  • 1
  • 1
  • 1
Western Blotting (WB), Immunohistochemistry (IHC)
  • 产品特性

    Polyclonal Antibody

    纯化方法

    Affinity purification

    免疫原

    Recombinant fusion protein of human PDC (NP_002588.3).

    亚型

    IgG
  • 应用备注

    WB 1:500-1:2000 IHC 1:50-1:200

    限制

    仅限研究用
  • 状态

    Liquid

    浓度

    1 mg/mL

    缓冲液

    PBS with 0.02 % sodium azide, 50 % glycerol, pH 7.3

    储存液

    Sodium azide

    注意事项

    This product contains Sodium azide: a POISONOUS AND HAZARDOUS SUBSTANCE which should be handled by trained staff only.

    储存条件

    -20 °C

    储存方法

    Store at -20°C. Avoid freeze / thaw cycles.
  • 抗原

    Phosducin (PDC)

    别名

    PDC

    背景

    This gene encodes a phosphoprotein, which is located in the outer and inner segments of the rod cells in the retina. This protein may participate in the regulation of visual phototransduction or in the integration of photoreceptor metabolism. It modulates the phototransduction cascade by interacting with the beta and gamma subunits of the retinal G-protein transducin. This gene is a potential candidate gene for retinitis pigmentosa and Usher syndrome type II. Alternatively spliced transcript variants encoding different isoforms have been identified.

    分子量

    Observed_MW: 36 kDa

    Calculated_MW: 22 kDa/28 kDa/32 kDa

    基因ID

    5132

    UniProt

    P20941
You are here: