NEDD4-2 抗体
Our Local Distributor
北京 101111
Quick Overview for NEDD4-2 抗体 (ABIN7264127)
抗原
See all NEDD4-2 (NEDD4L) 抗体适用
宿主
克隆类型
标记
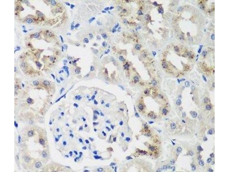
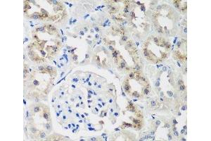
应用范围
-
-
产品特性
- Polyclonal Antibody
-
纯化方法
- Affinity purification
-
免疫原
- Recombinant fusion protein of human NEDD4L (NP_056092.2).
-
亚型
- IgG
-
-
-
-
应用备注
- IHC 1:50-1:200 IF 1:50-1:200
-
限制
- 仅限研究用
-
-
-
状态
- Liquid
-
浓度
- 1 mg/mL
-
缓冲液
- PBS with 0.02 % sodium azide, 50 % glycerol, pH 7.3
-
储存液
- Sodium azide
-
注意事项
- This product contains Sodium azide: a POISONOUS AND HAZARDOUS SUBSTANCE which should be handled by trained staff only.
-
储存条件
- -20 °C
-
储存方法
- Store at -20°C. Avoid freeze / thaw cycles.
-
-
- NEDD4-2 (NEDD4L) (E3 ubiquitin-protein ligase NEDD4-like (NEDD4L))
-
别名
- NEDD4L
-
背景
- This gene encodes a member of the Nedd4 family of HECT domain E3 ubiquitin ligases. HECT domain E3 ubiquitin ligases transfer ubiquitin from E2 ubiquitin-conjugating enzymes to protein substrates, thus targeting specific proteins for lysosomal degradation. The encoded protein mediates the ubiquitination of multiple target substrates and plays a critical role in epithelial sodium transport by regulating the cell surface expression of the epithelial sodium channel, ENaC. Single nucleotide polymorphisms in this gene may be associated with essential hypertension. Alternatively spliced transcript variants encoding multiple isoforms have been observed for this gene.
-
基因ID
- 23327
-
UniProt
- Q96PU5
-
途径
- Negative Regulation of Transporter Activity
抗原
-