电话:
+86 (0512) 65829739
传真:
+86 (010) 6788 5057
电子邮件:
orders@antibodies-online.cn

B9D1 抗体

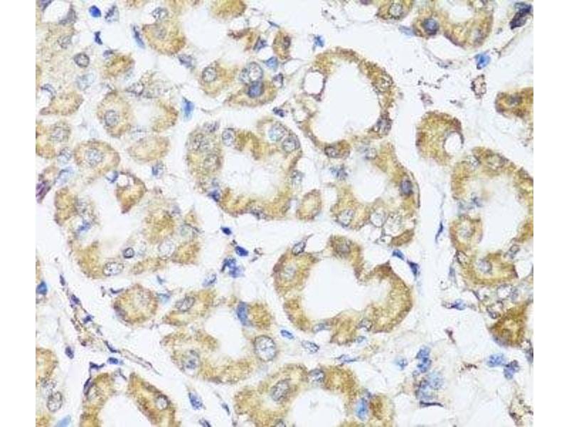
The 兔 多克隆 anti-B9D1 antibody (ABIN7264023) specifically detects B9D1 in IHC. The antibody is reactive with 人, 小鼠 和 大鼠 samples.
产品编号 ABIN7264023
发货至: 中国
Contact our Customer Service for availability and price in your country. Contact Info

Our Local Distributor

中国
北京 101111
No. 88 KeChuang 6th Street
Beijing Economic Technological Development Area
Room 801-803
4A Biotech Co.,Ltd.
Tel +86 (0512) 65829739 传真 +86 (010) 6788 5057

Quick Overview for B9D1 抗体 (ABIN7264023)

抗原

See all B9D1 抗体
B9D1 (B9 Protein Domain 1 (B9D1))

适用

  • 8
  • 2
  • 1
  • 1
  • 1
  • 1
  • 1
  • 1
人, 小鼠, 大鼠

宿主

  • 7
  • 1

克隆类型

  • 8
多克隆

标记

  • 8
This B9D1 antibody is un-conjugated

应用范围

  • 8
  • 4
  • 3
  • 3
  • 1
  • 1
  • 1
Immunohistochemistry (IHC)
  • 产品特性

    Polyclonal Antibody

    纯化方法

    Affinity purification

    免疫原

    Recombinant fusion protein of human B9D1 (NP_056496.1).

    亚型

    IgG
  • 应用备注

    IHC 1:50-1:200

    限制

    仅限研究用
  • 状态

    Liquid

    浓度

    1 mg/mL

    缓冲液

    PBS with 0.02 % sodium azide, 50 % glycerol, pH 7.3

    储存液

    Sodium azide

    注意事项

    This product contains Sodium azide: a POISONOUS AND HAZARDOUS SUBSTANCE which should be handled by trained staff only.

    储存条件

    -20 °C

    储存方法

    Store at -20°C. Avoid freeze / thaw cycles.
  • 抗原

    B9D1 (B9 Protein Domain 1 (B9D1))

    别名

    B9D1

    背景

    This gene encodes a B9 domain-containing protein, one of several that are involved in ciliogenesis. Alterations in expression of this gene have been found in a family with Meckel syndrome. Meckel syndrome has been associated with at least six different genes. This gene is located within the Smith-Magenis syndrome region on chromosome 17.

    基因ID

    27077

    UniProt

    Q9UPM9
You are here: