电话:
+86 (0512) 65829739
传真:
+86 (010) 6788 5057
电子邮件:
orders@antibodies-online.cn

RPL36 抗体

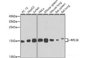
The 兔 多克隆 anti-RPL36 antibody (ABIN7263819) specifically detects RPL36 in WB, IHC 和 IF. The antibody is reactive with 人, 小鼠 和 大鼠 samples.
产品编号 ABIN7263819
发货至: 中国
Contact our Customer Service for availability and price in your country. Contact Info

Our Local Distributor

中国
北京 101111
No. 88 KeChuang 6th Street
Beijing Economic Technological Development Area
Room 801-803
4A Biotech Co.,Ltd.
Tel +86 (0512) 65829739 传真 +86 (010) 6788 5057

Quick Overview for RPL36 抗体 (ABIN7263819)

抗原

See all RPL36 抗体
RPL36 (Ribosomal Protein L36 (RPL36))

适用

  • 35
  • 14
  • 12
  • 3
  • 2
  • 2
  • 2
  • 2
  • 1
  • 1
  • 1
人, 小鼠, 大鼠

宿主

  • 34
  • 1

克隆类型

  • 35
多克隆

标记

  • 23
  • 2
  • 1
  • 1
  • 1
  • 1
  • 1
  • 1
  • 1
  • 1
  • 1
  • 1
This RPL36 antibody is un-conjugated

应用范围

  • 28
  • 15
  • 12
  • 10
  • 3
  • 2
  • 1
  • 1
  • 1
Western Blotting (WB), Immunohistochemistry (IHC), Immunofluorescence (IF)
  • 产品特性

    Polyclonal Antibody

    纯化方法

    Affinity purification

    免疫原

    Recombinant fusion protein of human RPL36 (NP_056229.2).

    亚型

    IgG
  • 应用备注

    WB 1:500-1:2000 IHC 1:50-1:200 IF 1:50-1:200

    限制

    仅限研究用
  • 状态

    Liquid

    浓度

    1 mg/mL

    缓冲液

    PBS with 0.02 % sodium azide, 50 % glycerol, pH 7.3

    储存液

    Sodium azide

    注意事项

    This product contains Sodium azide: a POISONOUS AND HAZARDOUS SUBSTANCE which should be handled by trained staff only.

    储存条件

    -20 °C

    储存方法

    Store at -20°C. Avoid freeze / thaw cycles.
  • 抗原

    RPL36 (Ribosomal Protein L36 (RPL36))

    别名

    RPL36

    背景

    Ribosomes, the organelles that catalyze protein synthesis, consist of a small 40S subunit and a large 60S subunit. Together these subunits are composed of 4 RNA species and approximately 80 structurally distinct proteins. This gene encodes a ribosomal protein that is a component of the 60S subunit. The protein belongs to the L36E family of ribosomal proteins. It is located in the cytoplasm. Transcript variants derived from alternative splicing exist, they encode the same protein. As is typical for genes encoding ribosomal proteins, there are multiple processed pseudogenes of this gene dispersed through the genome.

    分子量

    Observed_MW: 15 kDa

    Calculated_MW: 12 kDa

    基因ID

    25873

    UniProt

    Q9Y3U8

    途径

    SARS-CoV-2 Protein Interactome
You are here: