电话:
+86 (0512) 65829739
传真:
+86 (010) 6788 5057
电子邮件:
orders@antibodies-online.cn

Desmoplakin 抗体

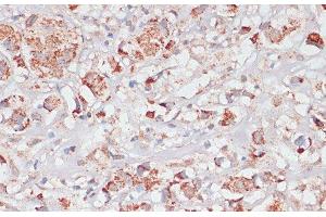
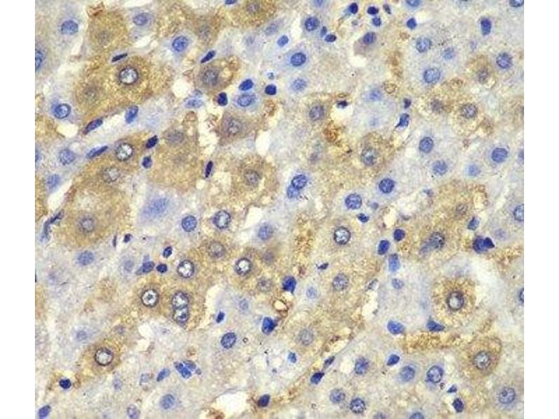
The 兔 多克隆 anti-Desmoplakin antibody (ABIN7263625) specifically detects Desmoplakin in IHC. The antibody is reactive with 人, 小鼠 和 大鼠 samples.
产品编号 ABIN7263625
发货至: 中国
Contact our Customer Service for availability and price in your country. Contact Info

Our Local Distributor

中国
北京 101111
No. 88 KeChuang 6th Street
Beijing Economic Technological Development Area
Room 801-803
4A Biotech Co.,Ltd.
Tel +86 (0512) 65829739 传真 +86 (010) 6788 5057

Quick Overview for Desmoplakin 抗体 (ABIN7263625)

抗原

See all Desmoplakin (DSP) 抗体
Desmoplakin (DSP)

适用

  • 45
  • 14
  • 14
  • 2
  • 2
  • 1
  • 1
  • 1
  • 1
  • 1
  • 1
  • 1
  • 1
  • 1
  • 1
人, 小鼠, 大鼠

宿主

  • 39
  • 4
  • 2
  • 1

克隆类型

  • 31
  • 15
多克隆

标记

  • 26
  • 3
  • 2
  • 2
  • 2
  • 2
  • 2
  • 2
  • 2
  • 1
  • 1
  • 1
This Desmoplakin antibody is un-conjugated

应用范围

  • 28
  • 15
  • 15
  • 12
  • 11
  • 6
  • 4
  • 3
  • 2
  • 1
  • 1
Immunohistochemistry (IHC)
  • 产品特性

    Polyclonal Antibody

    纯化方法

    Affinity purification

    免疫原

    A synthetic peptide of human Desmoplakin (NP_004406.2).

    亚型

    IgG
  • 应用备注

    IHC 1:50-1:200

    限制

    仅限研究用
  • 状态

    Liquid

    浓度

    1 mg/mL

    缓冲液

    PBS with 0.02 % sodium azide, 50 % glycerol, pH 7.3

    储存液

    Sodium azide

    注意事项

    This product contains Sodium azide: a POISONOUS AND HAZARDOUS SUBSTANCE which should be handled by trained staff only.

    储存条件

    -20 °C

    储存方法

    Store at -20°C. Avoid freeze / thaw cycles.
  • 抗原

    Desmoplakin (DSP)

    别名

    Desmoplakin

    背景

    This gene encodes a protein that anchors intermediate filaments to desmosomal plaques and forms an obligate component of functional desmosomes. Mutations in this gene are the cause of several cardiomyopathies and keratodermas, including skin fragility-woolly hair syndrome. Alternative splicing results in multiple transcript variants.

    基因ID

    1832

    UniProt

    P15924

    途径

    Cell-Cell Junction Organization
You are here: