电话:
+86 (0512) 65829739
传真:
+86 (010) 6788 5057
电子邮件:
orders@antibodies-online.cn

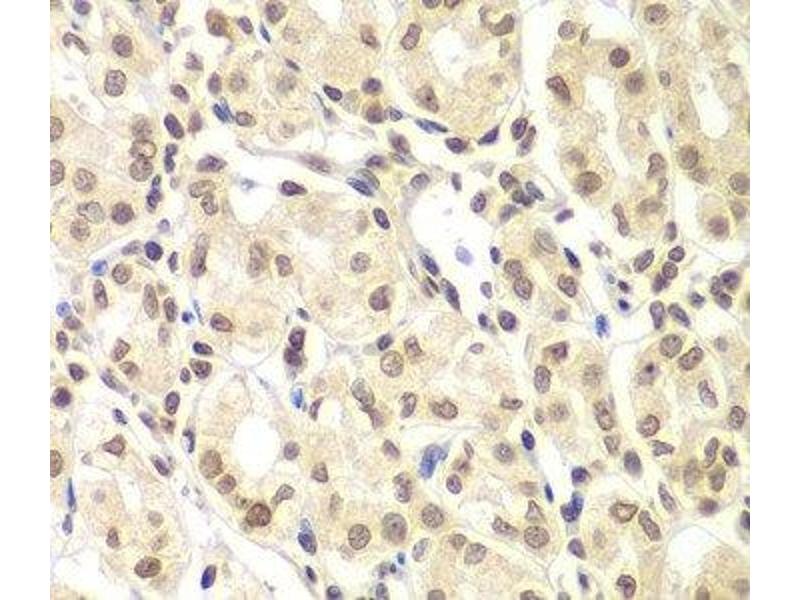
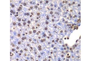
ULK4 抗体

The 兔 多克隆 anti-ULK4 antibody (ABIN7011809) specifically detects ULK4 in IHC 和 IF. The antibody is reactive with 人, 小鼠 和 大鼠 samples.
产品编号 ABIN7011809
发货至: 中国
Contact our Customer Service for availability and price in your country. Contact Info

Our Local Distributor

中国
北京 101111
No. 88 KeChuang 6th Street
Beijing Economic Technological Development Area
Room 801-803
4A Biotech Co.,Ltd.
Tel +86 (0512) 65829739 传真 +86 (010) 6788 5057

Quick Overview for ULK4 抗体 (ABIN7011809)

抗原

See all ULK4 (ULK24) 抗体
ULK4 (ULK24) (Unc-51-Like Kinase 4 (ULK24))

适用

  • 20
  • 8
  • 5
  • 3
人, 小鼠, 大鼠

宿主

  • 18
  • 2

克隆类型

  • 18
  • 2
多克隆

标记

  • 12
  • 1
  • 1
  • 1
  • 1
  • 1
  • 1
  • 1
  • 1
This ULK4 antibody is un-conjugated

应用范围

  • 13
  • 10
  • 5
  • 5
  • 3
  • 3
  • 1
Immunohistochemistry (IHC), Immunofluorescence (IF)
  • 产品特性

    Polyclonal Antibody

    纯化方法

    Affinity purification

    免疫原

    Recombinant fusion protein of human ULK4 (NP_060356.2).

    亚型

    IgG
  • 应用备注

    IHC 1:50-1:200 IF 1:50-1:200

    限制

    仅限研究用
  • 状态

    Liquid

    浓度

    1 mg/mL

    缓冲液

    PBS with 0.02 % sodium azide, 50 % glycerol, pH 7.3

    储存液

    Sodium azide

    注意事项

    This product contains Sodium azide: a POISONOUS AND HAZARDOUS SUBSTANCE which should be handled by trained staff only.

    储存条件

    -20 °C

    储存方法

    Store at -20°C. Avoid freeze / thaw cycles.
  • 抗原

    ULK4 (ULK24) (Unc-51-Like Kinase 4 (ULK24))

    别名

    ULK4

    背景

    This gene encodes a member of the unc-51-like serine/threonine kinase (STK) family. Members of this protein family play a role in neuronal growth and endocytosis. The encoded protein is likely involved in neurite branching, neurite elongation and neuronal migration. Genome-wide association studies (GWAS) indicate an association of variations in this gene with blood pressure and hypertension. Sequence variations in this gene may also be be associated with psychiatric disorders, including schizophrenia and bipolar disorder. Pseudogenes associated with this gene have been identified and are located on chromosome 15.

    基因ID

    54986

    UniProt

    Q96C45
You are here: