PTGES2 抗体
Our Local Distributor
北京 101111
Quick Overview for PTGES2 抗体 (ABIN7011601)
抗原
See all PTGES2 抗体适用
宿主
克隆类型
标记
应用范围
-
-
产品特性
- Polyclonal Antibody
-
纯化方法
- Affinity purification
-
免疫原
- Recombinant fusion protein of human PTGES2 (NP_079348.1).
-
亚型
- IgG
-
-
-
-
应用备注
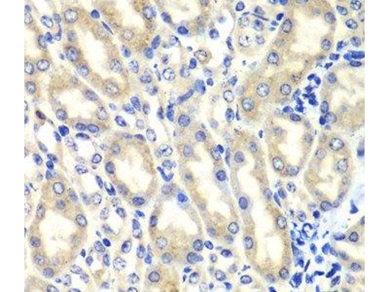
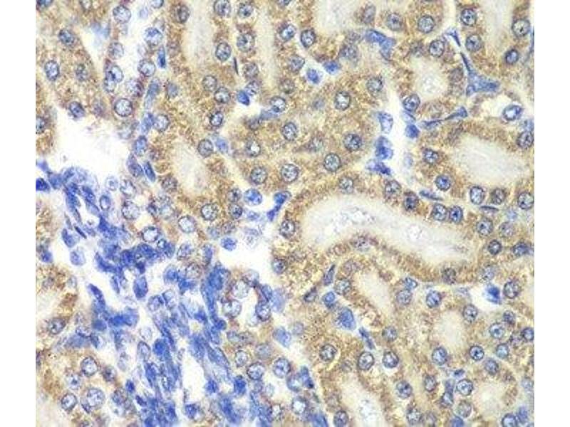
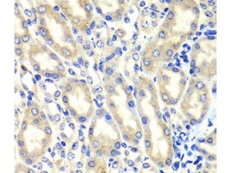
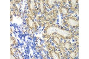
- IHC 1:50-1:200 IF 1:50-1:100
-
限制
- 仅限研究用
-
-
-
状态
- Liquid
-
浓度
- 1 mg/mL
-
缓冲液
- PBS with 0.02 % sodium azide, 50 % glycerol, pH 7.3
-
储存液
- Sodium azide
-
注意事项
- This product contains Sodium azide: a POISONOUS AND HAZARDOUS SUBSTANCE which should be handled by trained staff only.
-
储存条件
- -20 °C
-
储存方法
- Store at -20°C. Avoid freeze / thaw cycles.
-
-
- PTGES2 (Prostaglandin E Synthase 2 (PTGES2))
-
别名
- PTGES2
-
背景
- The protein encoded by this gene is a membrane-associated prostaglandin E synthase, which catalyzes the conversion of prostaglandin H2 to prostaglandin E2. This protein also has been shown to activate the transcription regulated by a gamma-interferon-activated transcription element (GATE). Multiple transcript variants have been found for this gene.
-
基因ID
- 80142
-
UniProt
- Q9H7Z7
-
途径
- Interferon-gamma Pathway, Cell RedoxHomeostasis, SARS-CoV-2 Protein Interactome
抗原
-