SOX5 抗体
Our Local Distributor
北京 101111
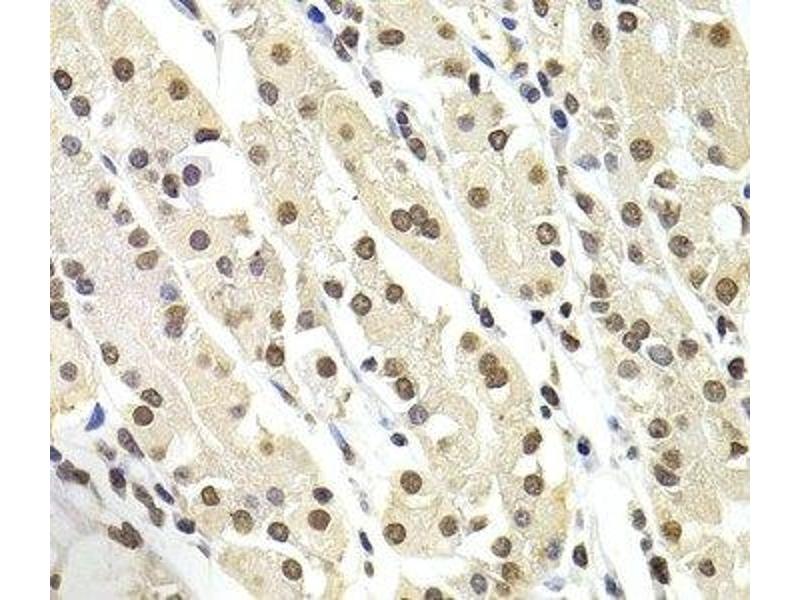
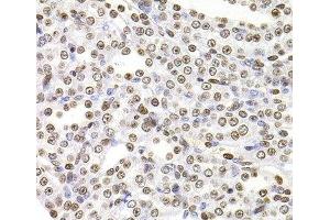
Quick Overview for SOX5 抗体 (ABIN7262915)
抗原
See all SOX5 抗体适用
宿主
克隆类型
标记
应用范围
-
-
产品特性
- Polyclonal Antibody
-
纯化方法
- Affinity purification
-
免疫原
- Recombinant fusion protein of human SOX5 (NP_694534.1).
-
亚型
- IgG
-
-
-
-
应用备注
- IHC 1:50-1:200 IF 1:50-1:100
-
限制
- 仅限研究用
-
-
-
状态
- Liquid
-
浓度
- 1 mg/mL
-
缓冲液
- PBS with 0.02 % sodium azide, 50 % glycerol, pH 7.3
-
储存液
- Sodium azide
-
注意事项
- This product contains Sodium azide: a POISONOUS AND HAZARDOUS SUBSTANCE which should be handled by trained staff only.
-
储存条件
- -20 °C
-
储存方法
- Store at -20°C. Avoid freeze / thaw cycles.
-
-
- SOX5 (SRY (Sex Determining Region Y)-Box 5 (SOX5))
-
别名
- SOX5
-
背景
- This gene encodes a member of the SOX (SRY-related HMG-box) family of transcription factors involved in the regulation of embryonic development and in the determination of the cell fate. The encoded protein may act as a transcriptional regulator after forming a protein complex with other proteins. The encoded protein may play a role in chondrogenesis. A pseudogene of this gene is located on chromosome 8. Multiple transcript variants encoding distinct isoforms have been identified for this gene.
-
基因ID
- 6660
-
UniProt
- P35711
抗原
-