BCL9 抗体
Our Local Distributor
北京 101111
Quick Overview for BCL9 抗体 (ABIN7262729)
抗原
See all BCL9 抗体适用
宿主
克隆类型
标记
应用范围
-
-
产品特性
- Polyclonal Antibody
-
纯化方法
- Affinity purification
-
免疫原
- Recombinant protein of mouse Bcl9
-
亚型
- IgG
-
-
-
-
应用备注
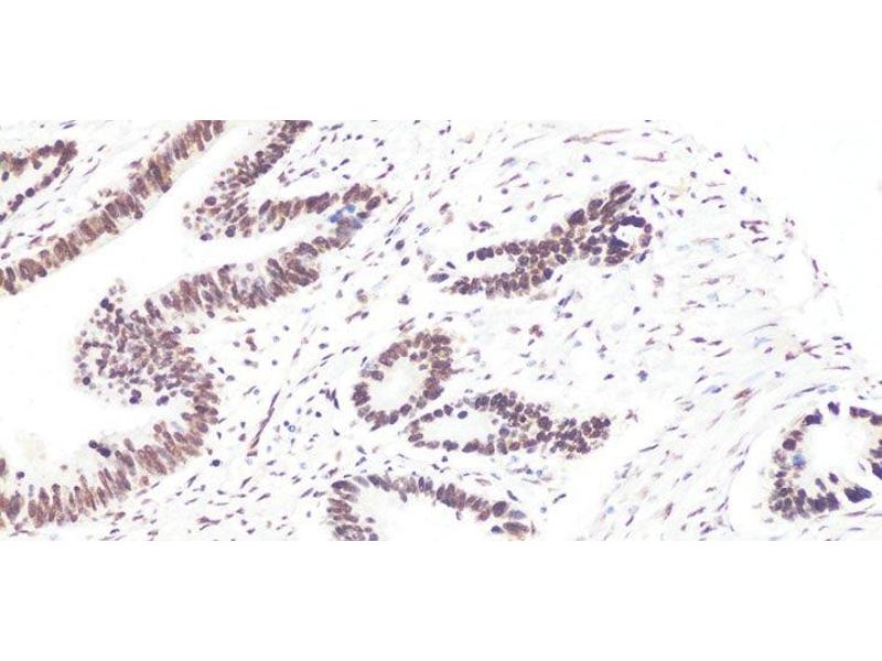
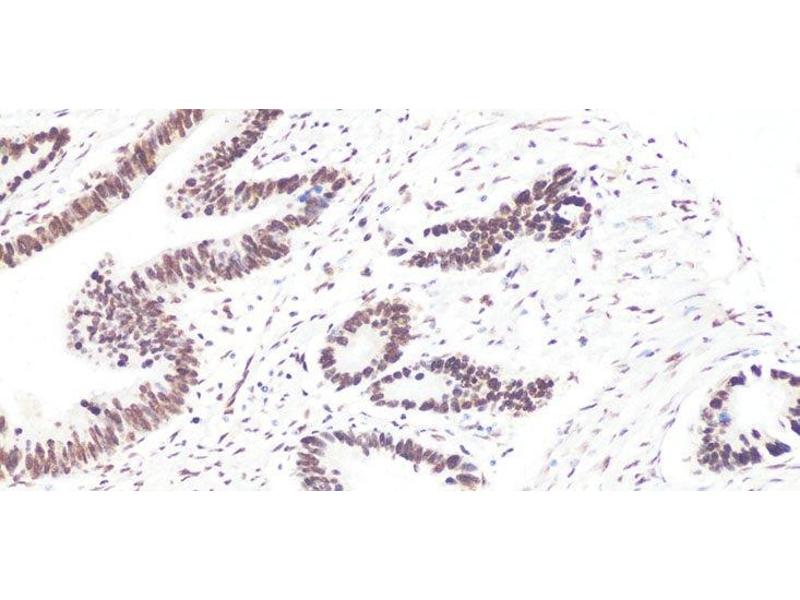
- WB 1:500-1:2000 IHC 1:50-1:200
-
限制
- 仅限研究用
-
-
-
状态
- Liquid
-
浓度
- 1 mg/mL
-
缓冲液
- PBS with 0.02 % sodium azide, 50 % glycerol, pH 7.3
-
储存液
- Sodium azide
-
注意事项
- This product contains Sodium azide: a POISONOUS AND HAZARDOUS SUBSTANCE which should be handled by trained staff only.
-
储存条件
- -20 °C
-
储存方法
- Store at -20°C. Avoid freeze / thaw cycles.
-
-
- BCL9 (B-Cell CLL/lymphoma 9 (BCL9))
-
别名
- Bcl9
-
背景
- BCL9 is associated with B-cell acute lymphoblastic leukemia. It may be a target of translocation in B-cell malignancies with abnormalities of 1q21. Its function is unknown. The overexpression of BCL9 may be of pathogenic significance in B-cell malignancies.
-
分子量
-
Observed_MW: 160 kDa/170 kDa
Calculated_MW: 148 kDa
-
基因ID
- 77578
-
UniProt
- Q9D219
-
途径
- Stem Cell Maintenance
抗原
-