电话:
+86 (0512) 65829739
传真:
+86 (010) 6788 5057
电子邮件:
orders@antibodies-online.cn

SECISBP2 抗体

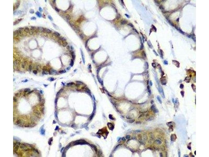
The 兔 多克隆 anti-SECISBP2 antibody is suitable to detect SECISBP2 in samples from 人 和 小鼠. It has been validated for IHC 和 IF.
产品编号 ABIN7262647
发货至: 中国
Contact our Customer Service for availability and price in your country. Contact Info

Our Local Distributor

中国
北京 101111
No. 88 KeChuang 6th Street
Beijing Economic Technological Development Area
Room 801-803
4A Biotech Co.,Ltd.
Tel +86 (0512) 65829739 传真 +86 (010) 6788 5057

Quick Overview for SECISBP2 抗体 (ABIN7262647)

抗原

See all SECISBP2 抗体
SECISBP2 (SECIS Binding Protein 2 (SECISBP2))

适用

  • 35
  • 7
  • 5
  • 3
  • 3
  • 2
  • 1
  • 1
人, 小鼠

宿主

  • 29
  • 5
  • 1

克隆类型

  • 32
  • 3
多克隆

标记

  • 23
  • 2
  • 1
  • 1
  • 1
  • 1
  • 1
  • 1
  • 1
  • 1
  • 1
  • 1
This SECISBP2 antibody is un-conjugated

应用范围

  • 27
  • 15
  • 8
  • 6
  • 3
  • 2
  • 1
  • 1
Immunohistochemistry (IHC), Immunofluorescence (IF)
  • 产品特性

    Polyclonal Antibody

    纯化方法

    Affinity purification

    免疫原

    Recombinant fusion protein of human SECISBP2 (NP_076982.3).

    亚型

    IgG
  • 应用备注

    IHC 1:50-1:200 IF 1:50-1:100

    限制

    仅限研究用
  • 状态

    Liquid

    浓度

    1 mg/mL

    缓冲液

    PBS with 0.02 % sodium azide, 50 % glycerol, pH 7.3

    储存液

    Sodium azide

    注意事项

    This product contains Sodium azide: a POISONOUS AND HAZARDOUS SUBSTANCE which should be handled by trained staff only.

    储存条件

    -20 °C

    储存方法

    Store at -20°C. Avoid freeze / thaw cycles.
  • 抗原

    SECISBP2 (SECIS Binding Protein 2 (SECISBP2))

    别名

    SECISBP2

    背景

    The incorporation of selenocysteine into a protein requires the concerted action of an mRNA element called a sec insertion sequence (SECIS), a selenocysteine-specific translation elongation factor and a SECIS binding protein. With these elements in place, a UGA codon can be decoded as selenocysteine. The gene described in this record encodes a nuclear protein that functions as a SECIS binding protein. Mutations in this gene have been associated with a reduction in activity of a specific thyroxine deiodinase, a selenocysteine-containing enzyme, and abnormal thyroid hormone metabolism. Alternate splicing results in multiple transcript variants.

    基因ID

    79048

    UniProt

    Q96T21
You are here: