电话:
+86 (0512) 65829739
传真:
+86 (010) 6788 5057
电子邮件:
orders@antibodies-online.cn

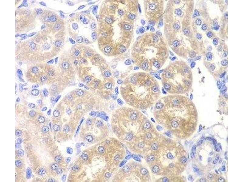
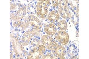
PNLIP 抗体

The 兔 多克隆 anti-PNLIP antibody is suitable to detect PNLIP in samples from 人, 小鼠 和 大鼠. It has been validated for IHC 和 IF.
产品编号 ABIN7262210
发货至: 中国
Contact our Customer Service for availability and price in your country. Contact Info

Our Local Distributor

中国
北京 101111
No. 88 KeChuang 6th Street
Beijing Economic Technological Development Area
Room 801-803
4A Biotech Co.,Ltd.
Tel +86 (0512) 65829739 传真 +86 (010) 6788 5057

Quick Overview for PNLIP 抗体 (ABIN7262210)

抗原

See all PNLIP 抗体
PNLIP (Pancreatic Lipase (PNLIP))

适用

  • 73
  • 15
  • 6
  • 3
  • 2
  • 2
  • 1
  • 1
人, 小鼠, 大鼠

宿主

  • 72
  • 7

克隆类型

  • 63
  • 16
多克隆

标记

  • 40
  • 5
  • 4
  • 3
  • 2
  • 2
  • 2
  • 2
  • 2
  • 2
  • 1
  • 1
  • 1
  • 1
  • 1
  • 1
  • 1
  • 1
  • 1
  • 1
  • 1
  • 1
  • 1
  • 1
  • 1
This PNLIP antibody is un-conjugated

应用范围

  • 62
  • 28
  • 22
  • 13
  • 13
  • 9
  • 8
  • 7
  • 6
  • 3
  • 3
  • 1
  • 1
  • 1
  • 1
Immunohistochemistry (IHC), Immunofluorescence (IF)
  • 产品特性

    Polyclonal Antibody

    纯化方法

    Affinity purification

    免疫原

    Recombinant fusion protein of human PNLIP (NP_000927.1).

    亚型

    IgG
  • 应用备注

    IHC 1:50-1:200 IF 1:50-1:100

    限制

    仅限研究用
  • 状态

    Liquid

    浓度

    1 mg/mL

    缓冲液

    PBS with 0.02 % sodium azide, 50 % glycerol, pH 7.3

    储存液

    Sodium azide

    注意事项

    This product contains Sodium azide: a POISONOUS AND HAZARDOUS SUBSTANCE which should be handled by trained staff only.

    储存条件

    -20 °C

    储存方法

    Store at -20°C. Avoid freeze / thaw cycles.
  • 抗原

    PNLIP (Pancreatic Lipase (PNLIP))

    别名

    PNLIP

    背景

    This gene is a member of the lipase gene family. It encodes a carboxyl esterase that hydrolyzes insoluble, emulsified triglycerides, and is essential for the efficient digestion of dietary fats. This gene is expressed specifically in the pancreas.

    基因ID

    5406

    UniProt

    P16233
You are here: