SNRNP70 抗体
Our Local Distributor
北京 101111
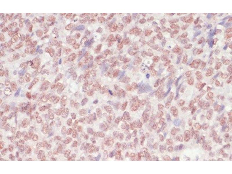
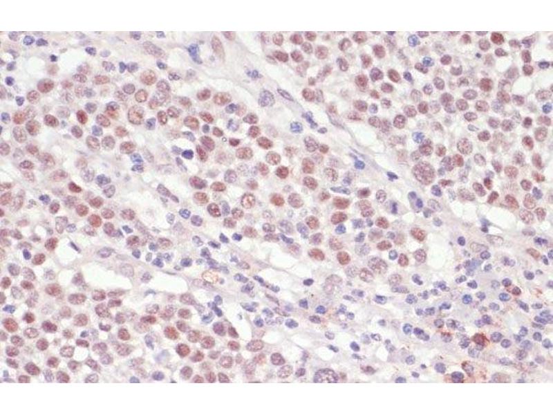
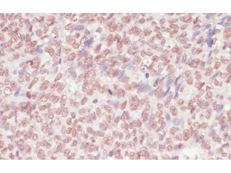
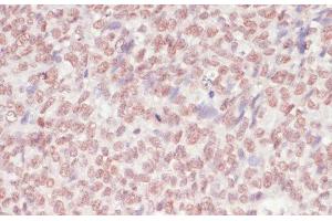
Quick Overview for SNRNP70 抗体 (ABIN7261930)
抗原
See all SNRNP70 抗体适用
宿主
克隆类型
标记
应用范围
-
-
产品特性
- Polyclonal Antibody
-
纯化方法
- Affinity purification
-
免疫原
- A synthetic peptide of human SNRNP70 (NP_003080.2).
-
亚型
- IgG
-
-
-
-
应用备注
- WB 1:500-1:1000 IHC 1:50-1:100
-
限制
- 仅限研究用
-
-
-
状态
- Liquid
-
浓度
- 1 mg/mL
-
缓冲液
- PBS with 0.02 % sodium azide, 50 % glycerol, pH 7.3
-
储存液
- Sodium azide
-
注意事项
- This product contains Sodium azide: a POISONOUS AND HAZARDOUS SUBSTANCE which should be handled by trained staff only.
-
储存条件
- -20 °C
-
储存方法
- Store at -20°C. Avoid freeze / thaw cycles.
-
-
- SNRNP70 (Small Nuclear Ribonucleoprotein 70kDa (U1) (SNRNP70))
-
别名
- SNRNP70
-
背景
- SNRNP70 (Small Nuclear Ribonucleoprotein U1 Subunit 70) is a Protein Coding gene. Diseases associated with SNRNP70 include Mixed Connective Tissue Disease and Facial Hemiatrophy. Among its related pathways are Gene Expression and mRNA Splicing - Major Pathway. Gene Ontology (GO) annotations related to this gene include nucleic acid binding and RNA binding. An important paralog of this gene is SNRNP35.
-
分子量
-
Observed_MW: 65 kDa
Calculated_MW: 19 kDa/39 kDa/50 kDa/51 kDa
-
基因ID
- 6625
-
UniProt
- P08621
抗原
-