电话:
+86 (0512) 65829739
传真:
+86 (010) 6788 5057
电子邮件:
orders@antibodies-online.cn

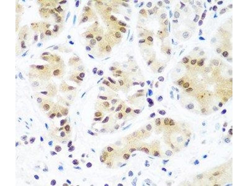
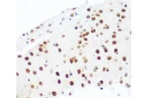
AGO2 抗体

This 兔 多克隆 antibody specifically detects AGO2 in IHC. It exhibits reactivity toward 人, 小鼠 和 大鼠.It has been mentioned in 1 publication
产品编号 ABIN7261908
发货至: 中国
Contact our Customer Service for availability and price in your country. Contact Info

Our Local Distributor

中国
北京 101111
No. 88 KeChuang 6th Street
Beijing Economic Technological Development Area
Room 801-803
4A Biotech Co.,Ltd.
Tel +86 (0512) 65829739 传真 +86 (010) 6788 5057

Quick Overview for AGO2 抗体 (ABIN7261908)

抗原

See all AGO2 抗体
AGO2 (Argonaute 2 (AGO2))

适用

  • 62
  • 34
  • 25
  • 1
  • 1
  • 1
  • 1
人, 小鼠, 大鼠

宿主

  • 56
  • 8

克隆类型

  • 33
  • 31
多克隆

标记

  • 29
  • 5
  • 4
  • 3
  • 3
  • 3
  • 3
  • 3
  • 3
  • 2
  • 2
  • 2
  • 1
  • 1
This AGO2 antibody is un-conjugated

应用范围

  • 44
  • 24
  • 21
  • 21
  • 17
  • 16
  • 6
  • 6
  • 2
  • 2
  • 2
  • 1
  • 1
Immunohistochemistry (IHC)
  • 产品特性

    Polyclonal Antibody

    纯化方法

    Affinity purification

    免疫原

    A synthetic peptide of human Argonaute-2 (NP_036286.2).

    亚型

    IgG
  • 应用备注

    IHC 1:50-1:200

    限制

    仅限研究用
  • 状态

    Liquid

    浓度

    1 mg/mL

    缓冲液

    PBS with 0.02 % sodium azide, 50 % glycerol, pH 7.3

    储存液

    Sodium azide

    注意事项

    This product contains Sodium azide: a POISONOUS AND HAZARDOUS SUBSTANCE which should be handled by trained staff only.

    储存条件

    -20 °C

    储存方法

    Store at -20°C. Avoid freeze / thaw cycles.
  • Li, Yin, Bao, Liu: "Targeting a novel circITCH/miR-421/BTG1 axis is effective to suppress the malignant phenotypes in hepatocellular carcinoma (HCC) cells." in: Cytotechnology, Vol. 75, Issue 3, pp. 255-267, (2023) (PubMed).

  • 抗原

    AGO2 (Argonaute 2 (AGO2))

    别名

    Argonaute-2

    背景

    This gene encodes a member of the Argonaute family of proteins which play a role in RNA interference. The encoded protein is highly basic, and contains a PAZ domain and a PIWI domain. It may interact with dicer1 and play a role in short-interfering-RNA-mediated gene silencing. Multiple transcript variants encoding different isoforms have been found for this gene.

    基因ID

    27161

    UniProt

    Q9UKV8

    途径

    Fc-epsilon Receptor Signaling Pathway, Regulatory RNA Pathways, EGFR Signaling Pathway, Neurotrophin Signaling Pathway, Ribonucleoprotein Complex Subunit Organization
You are here: