电话:
+86 (0512) 65829739
传真:
+86 (010) 6788 5057
电子邮件:
orders@antibodies-online.cn

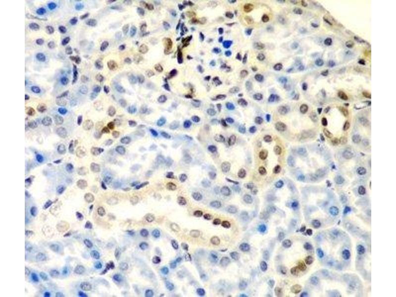
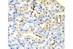
DCMP Deaminase (DCTD) 抗体

This 兔 多克隆 antibody specifically detects DCMP Deaminase in IHC. It exhibits reactivity toward 人, 小鼠 和 大鼠.
产品编号 ABIN7010889
发货至: 中国
Contact our Customer Service for availability and price in your country. Contact Info

Our Local Distributor

中国
北京 101111
No. 88 KeChuang 6th Street
Beijing Economic Technological Development Area
Room 801-803
4A Biotech Co.,Ltd.
Tel +86 (0512) 65829739 传真 +86 (010) 6788 5057

Quick Overview for DCMP Deaminase (DCTD) 抗体 (ABIN7010889)

抗原

See all DCMP Deaminase (DCTD) 抗体
DCMP Deaminase (DCTD)

适用

  • 33
  • 3
  • 3
  • 2
  • 2
  • 2
  • 2
  • 2
  • 2
人, 小鼠, 大鼠

宿主

  • 30
  • 3

克隆类型

  • 31
  • 2
多克隆

标记

  • 17
  • 2
  • 2
  • 2
  • 2
  • 1
  • 1
  • 1
  • 1
  • 1
  • 1
  • 1
  • 1
非结合性

应用范围

  • 20
  • 13
  • 6
  • 5
  • 4
  • 4
  • 3
  • 2
  • 2
  • 2
Immunohistochemistry (IHC)
  • 产品特性

    Polyclonal Antibody

    纯化方法

    Affinity purification

    免疫原

    Recombinant fusion protein of human DCTD (NP_001912.2).

    亚型

    IgG
  • 应用备注

    IHC 1:50-1:200

    限制

    仅限研究用
  • 状态

    Liquid

    浓度

    1 mg/mL

    缓冲液

    PBS with 0.02 % sodium azide, 50 % glycerol, pH 7.3

    储存液

    Sodium azide

    注意事项

    This product contains Sodium azide: a POISONOUS AND HAZARDOUS SUBSTANCE which should be handled by trained staff only.

    储存条件

    -20 °C

    储存方法

    Store at -20°C. Avoid freeze / thaw cycles.
  • 抗原

    DCMP Deaminase (DCTD)

    别名

    DCTD

    背景

    The protein encoded by this gene catalyzes the deamination of dCMP to dUMP, the nucleotide substrate for thymidylate synthase. The encoded protein is allosterically activated by dCTP and inhibited by dTTP, and is found as a homohexamer. This protein uses zinc as a cofactor for its activity. Two transcript variants encoding different isoforms have been found for this gene.

    基因ID

    1635

    UniProt

    P32321
You are here: