MTR4 抗体
Our Local Distributor
北京 101111
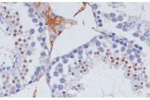
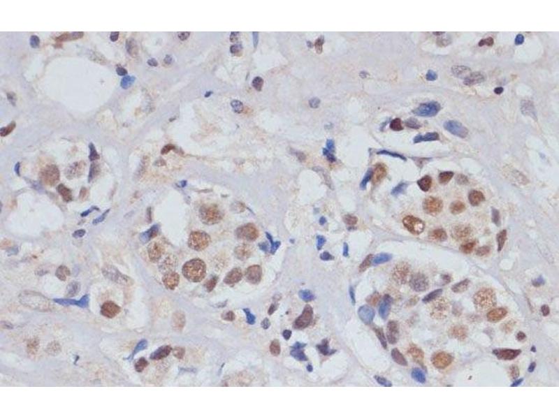
Quick Overview for MTR4 抗体 (ABIN7261528)
抗原
See all MTR4 (SKIV2L2) 抗体适用
宿主
克隆类型
标记
应用范围
-
-
产品特性
- Polyclonal Antibody
-
纯化方法
- Affinity purification
-
免疫原
- Recombinant fusion protein of human SKIV2L2 (NP_056175.3).
-
亚型
- IgG
-
-
-
-
应用备注
- IHC 1:50-1:200
-
限制
- 仅限研究用
-
-
-
状态
- Liquid
-
浓度
- 1 mg/mL
-
缓冲液
- PBS with 0.02 % sodium azide, 50 % glycerol, pH 7.3
-
储存液
- Sodium azide
-
注意事项
- This product contains Sodium azide: a POISONOUS AND HAZARDOUS SUBSTANCE which should be handled by trained staff only.
-
储存条件
- -20 °C
-
储存方法
- Store at -20°C. Avoid freeze / thaw cycles.
-
-
- MTR4 (SKIV2L2) (Superkiller Viralicidic Activity 2-Like 2 (SKIV2L2))
-
别名
- SKIV2L2
-
背景
- MTREX (Mtr4 Exosome RNA Helicase) is a Protein Coding gene. Diseases associated with MTREX include Posterior Myocardial Infarction and Robinow Syndrome, Autosomal Dominant 1. Among its related pathways are rRNA processing in the nucleus and cytosol and Gene Expression. An important paralog of this gene is SKIV2L.
-
基因ID
- 23517
-
UniProt
- P42285
抗原
-