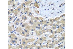
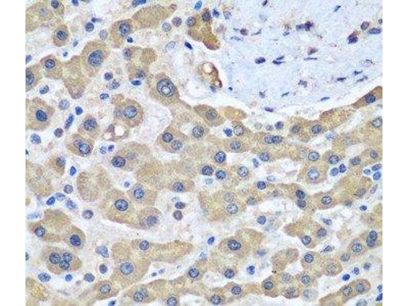
GFM1 抗体
Our Local Distributor
北京 101111
Quick Overview for GFM1 抗体 (ABIN7261181)
抗原
See all GFM1 抗体适用
宿主
克隆类型
标记
应用范围
-
-
产品特性
- Polyclonal Antibody
-
纯化方法
- Affinity purification
-
免疫原
- Recombinant fusion protein of human GFM1 (NP_079272.4).
-
亚型
- IgG
-
-
-
-
应用备注
- WB 1:500-1:2000 IHC 1:50-1:200 IF 1:50-1:200
-
限制
- 仅限研究用
-
-
-
状态
- Liquid
-
浓度
- 1 mg/mL
-
缓冲液
- PBS with 0.02 % sodium azide, 50 % glycerol, pH 7.3
-
储存液
- Sodium azide
-
注意事项
- This product contains Sodium azide: a POISONOUS AND HAZARDOUS SUBSTANCE which should be handled by trained staff only.
-
储存条件
- -20 °C
-
储存方法
- Store at -20°C. Avoid freeze / thaw cycles.
-
-
- GFM1 (G-Elongation Factor, Mitochondrial 1 (GFM1))
-
别名
- GFM1
-
背景
- Eukaryotes contain two protein translational systems, one in the cytoplasm and one in the mitochondria. Mitochondrial translation is crucial for maintaining mitochondrial function and mutations in this system lead to a breakdown in the respiratory chain-oxidative phosphorylation system and to impaired maintenance of mitochondrial DNA. This gene encodes one of the mitochondrial translation elongation factors. Its role in the regulation of normal mitochondrial function and in different disease states attributed to mitochondrial dysfunction is not known.
-
分子量
-
Observed_MW: 100 kDa
Calculated_MW: 83 kDa/85 kDa
-
基因ID
- 85476
-
UniProt
- Q96RP9
抗原
-