DNMT3L 抗体
Our Local Distributor
北京 101111
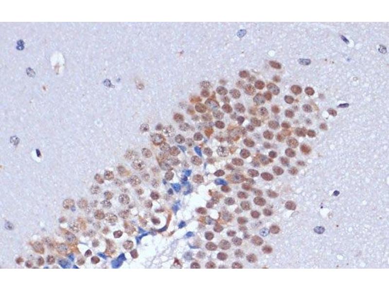
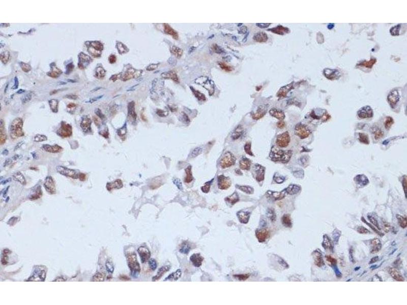
Quick Overview for DNMT3L 抗体 (ABIN7260352)
抗原
See all DNMT3L (TRDMT1) 抗体适用
宿主
克隆类型
标记
应用范围
-
-
产品特性
- Polyclonal Antibody
-
纯化方法
- Affinity purification
-
免疫原
- Recombinant fusion protein of human DNMT3L (NP_787063.1).
-
亚型
- IgG
-
-
-
-
应用备注
- IHC 1:50-1:200 IF 1:20-1:50
-
限制
- 仅限研究用
-
-
-
状态
- Liquid
-
浓度
- 1 mg/mL
-
缓冲液
- PBS with 0.02 % sodium azide, 50 % glycerol, pH 7.3
-
储存液
- Sodium azide
-
注意事项
- This product contains Sodium azide: a POISONOUS AND HAZARDOUS SUBSTANCE which should be handled by trained staff only.
-
储存条件
- -20 °C
-
储存方法
- Store at -20°C. Avoid freeze / thaw cycles.
-
-
- DNMT3L (TRDMT1) (DNA (Cytosine-5-)-Methyltransferase 3 Like (TRDMT1))
-
别名
- DNMT3L
-
背景
- CpG methylation is an epigenetic modification that is important for embryonic development, imprinting, and X-chromosome inactivation. Studies in mice have demonstrated that DNA methylation is required for mammalian development. This gene encodes a nuclear protein with similarity to DNA methyltransferases, but is not thought to function as a DNA methyltransferase as it does not contain the amino acid residues necessary for methyltransferase activity. However, it does stimulate de novo methylation by DNA cytosine methyltransferase 3 alpha and is thought to be required for the establishment of maternal genomic imprints. This protein also mediates transcriptional repression through interaction with histone deacetylase 1. Alternatively spliced transcript variants encoding different isoforms have been found for this gene.
-
基因ID
- 29947
-
UniProt
- Q9UJW3
抗原
-