EIF5A 抗体
Our Local Distributor
北京 101111
Quick Overview for EIF5A 抗体 (ABIN7260063)
抗原
See all EIF5A 抗体适用
宿主
克隆类型
标记
应用范围
-
-
产品特性
- Polyclonal Antibody
-
纯化方法
- Affinity purification
-
免疫原
- Recombinant fusion protein of human EIF5A (NP_001137234.1).
-
亚型
- IgG
-
-
-
-
应用备注
- WB 1:500-1:2000 IHC 1:50-1:200 IF 1:50-1:200
-
限制
- 仅限研究用
-
-
-
状态
- Liquid
-
浓度
- 1 mg/mL
-
缓冲液
- PBS with 0.02 % sodium azide, 50 % glycerol, pH 7.3
-
储存液
- Sodium azide
-
注意事项
- This product contains Sodium azide: a POISONOUS AND HAZARDOUS SUBSTANCE which should be handled by trained staff only.
-
储存条件
- -20 °C
-
储存方法
- Store at -20°C. Avoid freeze / thaw cycles.
-
-
- EIF5A (Eukaryotic Translation Initiation Factor 5A (EIF5A))
-
别名
- EIF5A
-
背景
- EIF5A (Eukaryotic Translation Initiation Factor 5A) is a Protein Coding gene. Diseases associated with EIF5A include Human Immunodeficiency Virus Type 1 and Retinitis Pigmentosa 14. Among its related pathways are eIF5A regulation in response to inhibition of the nuclear export system and Metabolism of proteins. Gene Ontology (GO) annotations related to this gene include protein N-terminus binding. An important paralog of this gene is EIF5AL1.
-
分子量
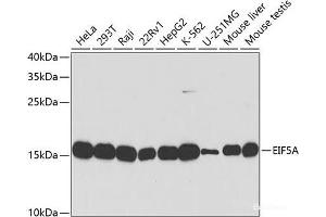
-
Observed_MW: 17 kDa
Calculated_MW: 16 kDa/20 kDa
-
基因ID
- 1984
-
UniProt
- P63241
-
途径
- Regulation of Muscle Cell Differentiation
抗原
-