电话:
+86 (0512) 65829739
传真:
+86 (010) 6788 5057
电子邮件:
orders@antibodies-online.cn

CDC23 抗体

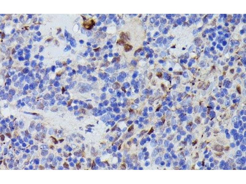
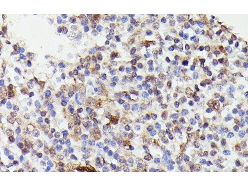
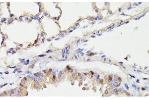
The 兔 多克隆 anti-CDC23 antibody (ABIN7258388) specifically detects CDC23 in IHC. The antibody is reactive with 人, 小鼠 和 大鼠 samples.
产品编号 ABIN7258388
发货至: 中国
Contact our Customer Service for availability and price in your country. Contact Info

Our Local Distributor

中国
北京 101111
No. 88 KeChuang 6th Street
Beijing Economic Technological Development Area
Room 801-803
4A Biotech Co.,Ltd.
Tel +86 (0512) 65829739 传真 +86 (010) 6788 5057

Quick Overview for CDC23 抗体 (ABIN7258388)

抗原

See all CDC23 抗体
CDC23 (Cell Division Cycle 23 (CDC23))

适用

  • 64
  • 45
  • 31
  • 8
  • 4
  • 4
  • 4
  • 4
  • 4
  • 4
  • 3
  • 2
  • 2
  • 2
人, 小鼠, 大鼠

宿主

  • 62
  • 2

克隆类型

  • 40
  • 24
多克隆

标记

  • 37
  • 4
  • 3
  • 3
  • 3
  • 3
  • 3
  • 3
  • 2
  • 1
  • 1
  • 1
This CDC23 antibody is un-conjugated

应用范围

  • 41
  • 17
  • 17
  • 15
  • 5
  • 5
  • 4
  • 1
  • 1
  • 1
  • 1
  • 1
  • 1
Immunohistochemistry (IHC)
  • 产品特性

    Polyclonal Antibody

    纯化方法

    Affinity purification

    免疫原

    A synthetic peptide of human CDC23 (NP_004652.2).

    亚型

    IgG
  • 应用备注

    IHC 1:100-1:200

    限制

    仅限研究用
  • 状态

    Liquid

    浓度

    1 mg/mL

    缓冲液

    PBS with 0.02 % sodium azide, 50 % glycerol, pH 7.3

    储存液

    Sodium azide

    注意事项

    This product contains Sodium azide: a POISONOUS AND HAZARDOUS SUBSTANCE which should be handled by trained staff only.

    储存条件

    -20 °C

    储存方法

    Store at -20°C. Avoid freeze / thaw cycles.
  • 抗原

    CDC23 (Cell Division Cycle 23 (CDC23))

    别名

    CDC23

    背景

    The protein encoded by this gene shares strong similarity with Saccharomyces cerevisiae Cdc23, a protein essential for cell cycle progression through the G2/M transition. This protein is a component of anaphase-promoting complex (APC), which is composed of eight protein subunits and highly conserved in eukaryotic cells. APC catalyzes the formation of cyclin B-ubiquitin conjugate that is responsible for the ubiquitin-mediated proteolysis of B-type cyclins. This protein and 3 other members of the APC complex contain the TPR (tetratricopeptide repeat), a protein domain important for protein-protein interaction.

    基因ID

    8697

    UniProt

    Q9UJX2

    途径

    Protein targeting to Nucleus
You are here: