ZNF416 抗体
Our Local Distributor
北京 101111
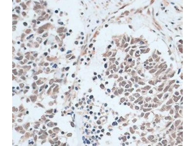
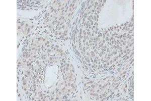
Quick Overview for ZNF416 抗体 (ABIN7258204)
抗原
See all ZNF416 抗体适用
宿主
克隆类型
标记
应用范围
-
-
产品特性
- Polyclonal Antibody
-
纯化方法
- Affinity purification
-
免疫原
- Recombinant fusion protein of human ZNF416 (NP_060349.1).
-
亚型
- IgG
-
-
-
-
应用备注
- IHC 1:50-1:200 IF 1:50-1:200
-
限制
- 仅限研究用
-
-
-
状态
- Liquid
-
浓度
- 1 mg/mL
-
缓冲液
- PBS with 0.02 % sodium azide, 50 % glycerol, pH 7.3
-
储存液
- Sodium azide
-
注意事项
- This product contains Sodium azide: a POISONOUS AND HAZARDOUS SUBSTANCE which should be handled by trained staff only.
-
储存条件
- -20 °C
-
储存方法
- Store at -20°C. Avoid freeze / thaw cycles.
-
-
- ZNF416 (Zinc Finger Protein 416 (ZNF416))
-
别名
- ZNF416
-
背景
- ZNF416 (Zinc Finger Protein 416) is a Protein Coding gene. Among its related pathways are Gene Expression and Herpes simplex virus 1 infection. Gene Ontology (GO) annotations related to this gene include nucleic acid binding. An important paralog of this gene is ZNF530.
-
基因ID
- 55659
-
UniProt
- Q9BWM5
抗原
-