电话:
+86 (0512) 65829739
传真:
+86 (010) 6788 5057
电子邮件:
orders@antibodies-online.cn

OTP 抗体

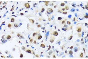
The 兔 多克隆 anti-OTP antibody (ABIN7256698) specifically detects OTP in IHC. The antibody is reactive with 人, 小鼠 和 大鼠 samples.
产品编号 ABIN7256698
发货至: 中国
Contact our Customer Service for availability and price in your country. Contact Info

Our Local Distributor

中国
北京 101111
No. 88 KeChuang 6th Street
Beijing Economic Technological Development Area
Room 801-803
4A Biotech Co.,Ltd.
Tel +86 (0512) 65829739 传真 +86 (010) 6788 5057

Quick Overview for OTP 抗体 (ABIN7256698)

抗原

See all OTP 抗体
OTP (Orthopedia Homeobox (OTP))

适用

  • 19
  • 15
  • 8
  • 6
  • 5
  • 5
  • 4
  • 3
  • 3
  • 3
  • 3
  • 3
  • 2
  • 1
人, 小鼠, 大鼠

宿主

  • 18
  • 1

克隆类型

  • 18
  • 1
多克隆

标记

  • 14
  • 1
  • 1
  • 1
  • 1
  • 1
This OTP antibody is un-conjugated

应用范围

  • 19
  • 10
  • 2
  • 1
  • 1
Immunohistochemistry (IHC)
  • 产品特性

    Polyclonal Antibody

    纯化方法

    Affinity purification

    免疫原

    Recombinant fusion protein of human OTP (NP_115485.1).

    亚型

    IgG
  • 应用备注

    IHC 1:50-1:200

    限制

    仅限研究用
  • 状态

    Liquid

    浓度

    1 mg/mL

    缓冲液

    PBS with 0.02 % sodium azide, 50 % glycerol, pH 7.3

    储存液

    Sodium azide

    注意事项

    This product contains Sodium azide: a POISONOUS AND HAZARDOUS SUBSTANCE which should be handled by trained staff only.

    储存条件

    -20 °C

    储存方法

    Store at -20°C. Avoid freeze / thaw cycles.
  • 抗原

    OTP (Orthopedia Homeobox (OTP))

    别名

    OTP

    背景

    This gene encodes a member of the homeodomain (HD) family. HD family proteins are helix-turn-helix transcription factors that play key roles in the specification of cell fates. This protein may function during brain development.

    基因ID

    23440

    UniProt

    Q5XKR4
You are here: