电话:
+86 (0512) 65829739
传真:
+86 (010) 6788 5057
电子邮件:
orders@antibodies-online.cn

WDR1 抗体

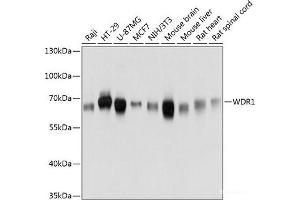
This 兔 多克隆 antibody specifically detects WDR1 in WB. It exhibits reactivity toward 人, 小鼠 和 大鼠.
产品编号 ABIN7255952
发货至: 中国
Contact our Customer Service for availability and price in your country. Contact Info

Our Local Distributor

中国
北京 101111
No. 88 KeChuang 6th Street
Beijing Economic Technological Development Area
Room 801-803
4A Biotech Co.,Ltd.
Tel +86 (0512) 65829739 传真 +86 (010) 6788 5057

Quick Overview for WDR1 抗体 (ABIN7255952)

抗原

See all WDR1 抗体
WDR1 (WD Repeat Domain 1 (WDR1))

适用

  • 61
  • 24
  • 21
  • 4
  • 4
  • 4
  • 4
  • 4
  • 2
  • 2
  • 2
  • 2
  • 1
  • 1
人, 小鼠, 大鼠

宿主

  • 60
  • 1
  • 1

克隆类型

  • 36
  • 26
多克隆

标记

  • 30
  • 4
  • 4
  • 4
  • 4
  • 4
  • 4
  • 4
  • 2
  • 2
This WDR1 antibody is un-conjugated

应用范围

  • 45
  • 25
  • 24
  • 13
  • 6
  • 4
  • 3
  • 2
  • 2
  • 1
Western Blotting (WB)
  • 产品特性

    Polyclonal Antibody

    纯化方法

    Affinity purification

    免疫原

    Recombinant fusion protein of human WDR1 (NP_059830.1).

    亚型

    IgG
  • 应用备注

    WB 1:500-1:2000

    限制

    仅限研究用
  • 状态

    Liquid

    浓度

    1 mg/mL

    缓冲液

    PBS with 0.02 % sodium azide, 50 % glycerol, pH 7.3

    储存液

    Sodium azide

    注意事项

    This product contains Sodium azide: a POISONOUS AND HAZARDOUS SUBSTANCE which should be handled by trained staff only.

    储存条件

    -20 °C

    储存方法

    Store at -20°C. Avoid freeze / thaw cycles.
  • 抗原

    WDR1 (WD Repeat Domain 1 (WDR1))

    别名

    WDR1

    背景

    This gene encodes a protein containing 9 WD repeats. WD repeats are approximately 30- to 40-amino acid domains containing several conserved residues, mostly including a trp-asp at the C-terminal end. WD domains are involved in protein-protein interactions. The encoded protein may help induce the disassembly of actin filaments. Two transcript variants encoding different isoforms have been found for this gene.

    分子量

    Observed_MW: 68 kDa

    Calculated_MW: 50 kDa/66 kDa

    基因ID

    9948

    UniProt

    O75083

    途径

    Sensory Perception of Sound
You are here: