电话:
+86 (0512) 65829739
传真:
+86 (010) 6788 5057
电子邮件:
orders@antibodies-online.cn

Bystin-Like 抗体

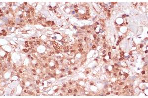
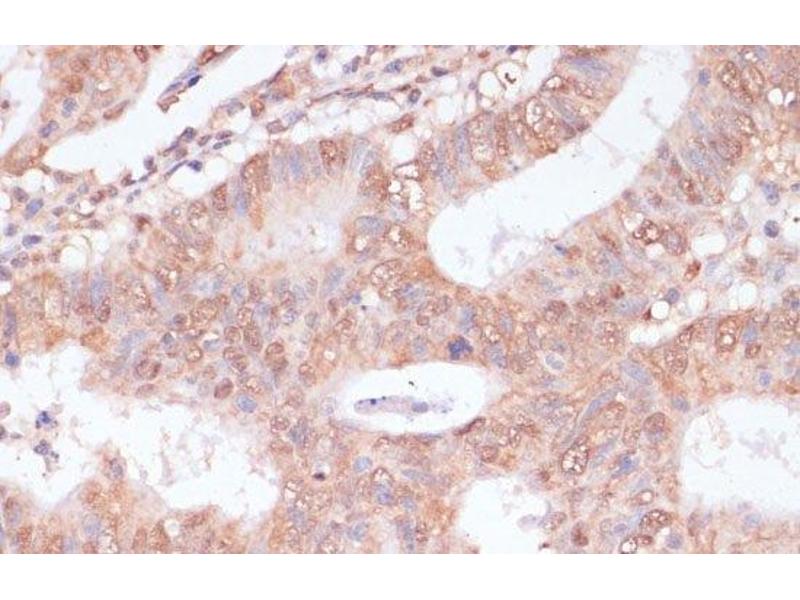
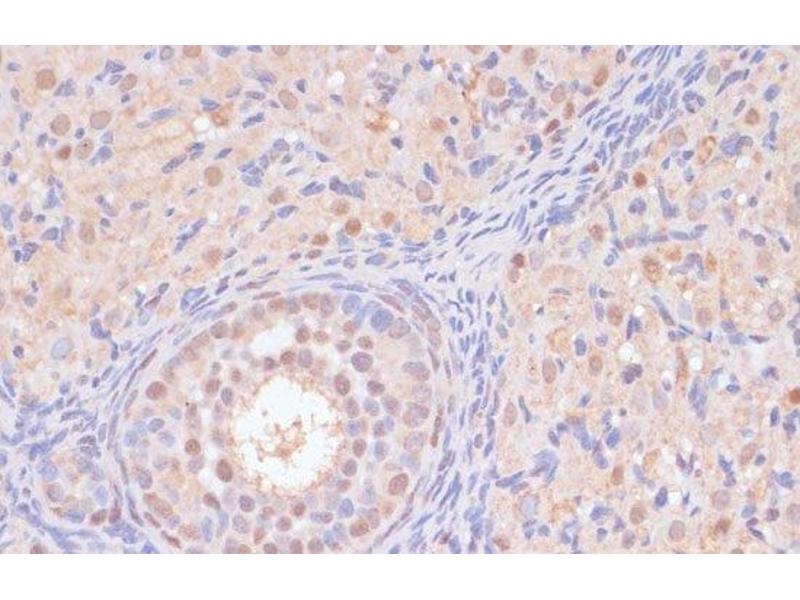
The 兔 多克隆 anti-Bystin-Like antibody is suitable to detect Bystin-Like in samples from 人, 小鼠 和 大鼠. It has been validated for IHC.
产品编号 ABIN7255860
发货至: 中国
Contact our Customer Service for availability and price in your country. Contact Info

Our Local Distributor

中国
北京 101111
No. 88 KeChuang 6th Street
Beijing Economic Technological Development Area
Room 801-803
4A Biotech Co.,Ltd.
Tel +86 (0512) 65829739 传真 +86 (010) 6788 5057

Quick Overview for Bystin-Like 抗体 (ABIN7255860)

抗原

See all Bystin-Like (BYSL) 抗体
Bystin-Like (BYSL)

适用

人, 小鼠, 大鼠

宿主

  • 5
  • 3

克隆类型

  • 8
多克隆

标记

  • 8
This Bystin-Like antibody is un-conjugated

应用范围

  • 8
  • 4
  • 3
Immunohistochemistry (IHC)
  • 产品特性

    Polyclonal Antibody

    纯化方法

    Affinity purification

    免疫原

    Recombinant fusion protein of human BYSL (NP_004044.3).

    亚型

    IgG
  • 应用备注

    IHC 1:50-1:100

    限制

    仅限研究用
  • 状态

    Liquid

    浓度

    1 mg/mL

    缓冲液

    PBS with 0.02 % sodium azide, 50 % glycerol, pH 7.3

    储存液

    Sodium azide

    注意事项

    This product contains Sodium azide: a POISONOUS AND HAZARDOUS SUBSTANCE which should be handled by trained staff only.

    储存条件

    -20 °C

    储存方法

    Store at -20°C. Avoid freeze / thaw cycles.
  • 抗原

    Bystin-Like (BYSL)

    别名

    BYSL

    背景

    Bystin is expressed as a 2-kb major transcript and a 3.6-kb minor transcript in SNG-M cells and in human trophoblastic teratocarcinoma HT-H cells. Protein binding assays determined that bystin binds directly to trophinin and tastin, and that binding is enhanced when cytokeratins 8 and 18 are present. Immunocytochemistry of HT-H cells showed that bystin colocalizes with trophinin, tastin, and the cytokeratins, suggesting that these molecules form a complex in trophectoderm cells at the time of implantation. Using immunohistochemistry it was determined that trophinin and bystin are found in the placenta from the sixth week of pregnancy. Both proteins were localized in the cytoplasm of the syncytiotrophoblast in the chorionic villi and in endometrial decidual cells at the uteroplacental interface. After week 10, the levels of trophinin, tastin, and bystin decreased and then disappeared from placental villi.

    基因ID

    705

    UniProt

    Q13895

    途径

    Cellular Response to Molecule of Bacterial Origin
You are here: