电话:
+86 (0512) 65829739
传真:
+86 (010) 6788 5057
电子邮件:
orders@antibodies-online.cn

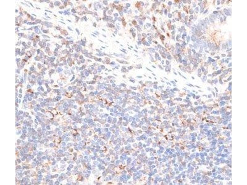
KIF14 抗体

The 兔 多克隆 anti-KIF14 antibody (ABIN7255237) specifically detects KIF14 in IHC 和 IF. The antibody is reactive with 人, 小鼠 和 大鼠 samples.
产品编号 ABIN7255237
发货至: 中国
Contact our Customer Service for availability and price in your country. Contact Info

Our Local Distributor

中国
北京 101111
No. 88 KeChuang 6th Street
Beijing Economic Technological Development Area
Room 801-803
4A Biotech Co.,Ltd.
Tel +86 (0512) 65829739 传真 +86 (010) 6788 5057

Quick Overview for KIF14 抗体 (ABIN7255237)

抗原

See all KIF14 抗体
KIF14 (Kinesin Family Member 14 (KIF14))

适用

  • 23
  • 3
  • 3
  • 1
人, 小鼠, 大鼠

宿主

  • 22
  • 1

克隆类型

  • 23
多克隆

标记

  • 11
  • 3
  • 2
  • 1
  • 1
  • 1
  • 1
  • 1
  • 1
  • 1
This KIF14 antibody is un-conjugated

应用范围

  • 12
  • 9
  • 7
  • 7
  • 5
  • 2
  • 2
  • 1
  • 1
Immunohistochemistry (IHC), Immunofluorescence (IF)
  • 产品特性

    Polyclonal Antibody

    纯化方法

    Affinity purification

    免疫原

    Recombinant fusion protein of human KIF14 (NP_055690.1).

    亚型

    IgG
  • 应用备注

    IHC 1:50-1:200 IF 1:50-1:200

    限制

    仅限研究用
  • 状态

    Liquid

    浓度

    1 mg/mL

    缓冲液

    PBS with 0.02 % sodium azide, 50 % glycerol, pH 7.3

    储存液

    Sodium azide

    注意事项

    This product contains Sodium azide: a POISONOUS AND HAZARDOUS SUBSTANCE which should be handled by trained staff only.

    储存条件

    -20 °C

    储存方法

    Store at -20°C. Avoid freeze / thaw cycles.
  • 抗原

    KIF14 (Kinesin Family Member 14 (KIF14))

    别名

    KIF14

    背景

    This gene encodes a member of the kinesin-3 superfamily of microtubule motor proteins. These proteins are involved in numerous processes including vesicle transport, chromosome segregation, mitotic spindle formation, and cytokinesis. In human HeLa-S3 and 293T cells, this protein is localized to the cytoplasm during interphase, to the spindle poles and spindle microtubules during mitosis, and to the midbody during cytokinesis. An internal motor domain displays microtubule-dependent ATPase activity, consistent with its function as a microtubule motor protein. Knockdown of this gene results in failed cytokinesis with endoreplication, which results in multinucleated cells. This gene has been identified as a likely oncogene in breast, lung and ovarian cancers, as well as retinoblastomas and gliomas. Alternative splicing results in multiple transcript variants.

    基因ID

    9928

    UniProt

    Q15058
You are here: