电话:
+86 (0512) 65829739
传真:
+86 (010) 6788 5057
电子邮件:
orders@antibodies-online.cn

CD53 抗体

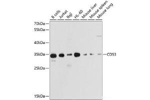
The 兔 多克隆 anti-CD53 antibody (ABIN7255135) specifically detects CD53 in WB. The antibody is reactive with 人 和 小鼠 samples.
产品编号 ABIN7255135
发货至: 中国
Contact our Customer Service for availability and price in your country. Contact Info

Our Local Distributor

中国
北京 101111
No. 88 KeChuang 6th Street
Beijing Economic Technological Development Area
Room 801-803
4A Biotech Co.,Ltd.
Tel +86 (0512) 65829739 传真 +86 (010) 6788 5057

Quick Overview for CD53 抗体 (ABIN7255135)

抗原

See all CD53 抗体
CD53

适用

  • 80
  • 5
  • 3
人, 小鼠

宿主

  • 44
  • 38

克隆类型

  • 56
  • 23
  • 3
多克隆

标记

  • 35
  • 5
  • 4
  • 4
  • 2
  • 2
  • 2
  • 2
  • 2
  • 2
  • 2
  • 1
  • 1
  • 1
  • 1
  • 1
  • 1
  • 1
  • 1
  • 1
  • 1
  • 1
  • 1
  • 1
  • 1
  • 1
  • 1
  • 1
  • 1
  • 1
  • 1
This CD53 antibody is un-conjugated

应用范围

  • 57
  • 43
  • 36
  • 22
  • 18
  • 13
  • 13
  • 13
  • 12
  • 9
  • 9
  • 5
  • 2
  • 1
Western Blotting (WB)
  • 产品特性

    Polyclonal Antibody

    纯化方法

    Affinity purification

    免疫原

    Recombinant fusion protein of human CD53 (NP_000551.1).

    亚型

    IgG
  • 应用备注

    WB 1:1000-1:4000

    限制

    仅限研究用
  • 状态

    Liquid

    浓度

    1 mg/mL

    缓冲液

    PBS with 0.02 % sodium azide, 50 % glycerol, pH 7.3

    储存液

    Sodium azide

    注意事项

    This product contains Sodium azide: a POISONOUS AND HAZARDOUS SUBSTANCE which should be handled by trained staff only.

    储存条件

    -20 °C

    储存方法

    Store at -20°C. Avoid freeze / thaw cycles.
  • 抗原

    CD53

    别名

    CD53

    背景

    The protein encoded by this gene is a member of the transmembrane 4 superfamily, also known as the tetraspanin family. Most of these members are cell-surface proteins that are characterized by the presence of four hydrophobic domains. The proteins mediate signal transduction events that play a role in the regulation of cell development, activation, growth and motility. This encoded protein is a cell surface glycoprotein that is known to complex with integrins. It contributes to the transduction of CD2-generated signals in T cells and natural killer cells and has been suggested to play a role in growth regulation. Familial deficiency of this gene has been linked to an immunodeficiency associated with recurrent infectious diseases caused by bacteria, fungi and viruses. Alternative splicing results in multiple transcript variants.

    分子量

    Observed_MW: 35 kDa

    Calculated_MW: 24 kDa

    基因ID

    963

    UniProt

    P19397
You are here: