电话:
+86 (0512) 65829739
传真:
+86 (010) 6788 5057
电子邮件:
orders@antibodies-online.cn

SETDB1 抗体

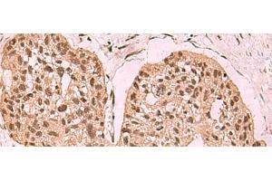
The 兔 多克隆 anti-SETDB1 antibody is suitable to detect SETDB1 in samples from 人 和 小鼠. It has been validated for ELISA 和 IHC.
产品编号 ABIN7253431
发货至: 中国
Contact our Customer Service for availability and price in your country. Contact Info

Our Local Distributor

中国
北京 101111
No. 88 KeChuang 6th Street
Beijing Economic Technological Development Area
Room 801-803
4A Biotech Co.,Ltd.
Tel +86 (0512) 65829739 传真 +86 (010) 6788 5057

Quick Overview for SETDB1 抗体 (ABIN7253431)

抗原

See all SETDB1 抗体
SETDB1 (SET Domain, Bifurcated 1 (SETDB1))

适用

  • 30
  • 19
  • 5
  • 2
  • 1
  • 1
  • 1
  • 1
  • 1
  • 1
人, 小鼠

宿主

  • 41
  • 5

克隆类型

  • 42
  • 4
多克隆

标记

  • 27
  • 2
  • 2
  • 2
  • 1
  • 1
  • 1
  • 1
  • 1
  • 1
  • 1
  • 1
  • 1
  • 1
  • 1
  • 1
  • 1
This SETDB1 antibody is un-conjugated

应用范围

  • 44
  • 24
  • 13
  • 13
  • 7
  • 7
  • 5
  • 4
  • 3
  • 3
  • 2
  • 1
  • 1
  • 1
ELISA, Immunohistochemistry (IHC)
  • 产品特性

    Polyclonal Antibody

    纯化方法

    Antigen affinity purification

    免疫原

    Fusion protein of human SETDB1

    亚型

    IgG
  • 应用备注

    IHC 1:50-1:300, ELISA 1:5000-1:10000

    限制

    仅限研究用
  • 状态

    Liquid

    浓度

    1.08 mg/mL

    缓冲液

    PBS with 0.05 % Sodium azide and 40 % Glycerol, pH 7.4

    储存液

    Sodium azide

    注意事项

    This product contains Sodium azide: a POISONOUS AND HAZARDOUS SUBSTANCE which should be handled by trained staff only.

    储存条件

    -20 °C

    储存方法

    Store at -20°C. Avoid freeze / thaw cycles.
  • 抗原

    SETDB1 (SET Domain, Bifurcated 1 (SETDB1))

    别名

    SETDB1

    背景

    SETDB1,also named as ESET,KIAA0067 and KMT1E,belongs to the histone-lysine methyltransferase family. It is a SET domain protein with histone H3-K9-specific methyltransferase activity. H3 'Lys-9' trimethylation is coordinated with DNA methylation and represents a specific tag for epigenetic transcriptional repression by recruiting HP1 (CBX1,CBX3 and/or CBX5) proteins to methylated histones. SETDB1 mainly functions in euchromatin regions,thereby playing a central role in the silencing of euchromatic genes. It probably forms a complex with MBD1 and ATF7IP that represses transcription and couples DNA methylation and histone 'Lys-9' trimethylation. Its activity is dependent on MBD1 and is heritably maintained through DNA replication by being recruited by CAF-1. SETDB1 regulates histone methylation,gene silencing,and transcriptional repression. It has been identified as a target for treatment in Huntington Disease,given that gene silencing and transcription dysfunction likely play a role in the disease pathogenesis.

    UniProt

    Q15047
You are here: