电话:
+86 (0512) 65829739
传真:
+86 (010) 6788 5057
电子邮件:
orders@antibodies-online.cn

CST3 抗体

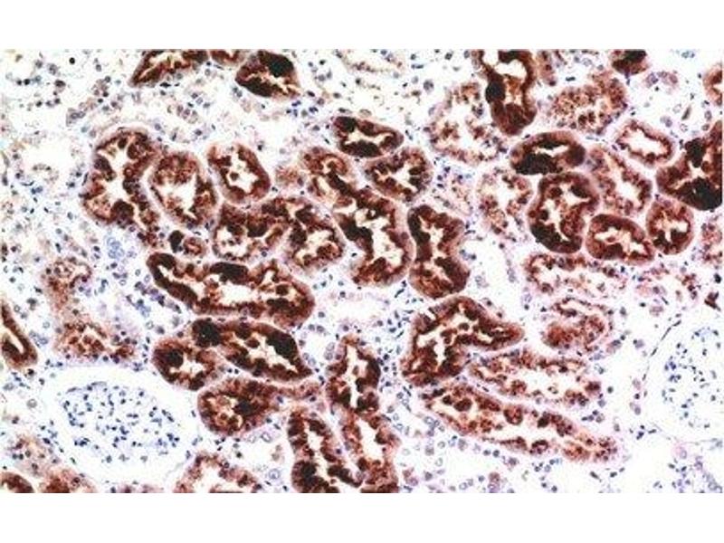
The 小鼠 单克隆 anti-CST3 antibody (Clone 3B6) (ABIN7250317) specifically detects CST3 in WB, ELISA, IHC (p) 和 IF. The antibody is reactive with 人 samples.
产品编号 ABIN7250317
发货至: 中国
Contact our Customer Service for availability and price in your country. Contact Info

Our Local Distributor

中国
北京 101111
No. 88 KeChuang 6th Street
Beijing Economic Technological Development Area
Room 801-803
4A Biotech Co.,Ltd.
Tel +86 (0512) 65829739 传真 +86 (010) 6788 5057

Quick Overview for CST3 抗体 (ABIN7250317)

抗原

See all CST3 抗体
CST3 (Cystatin C (CST3))

适用

  • 128
  • 53
  • 43
  • 6
  • 5
  • 3
  • 3
  • 2
  • 1
  • 1
  • 1
  • 1

宿主

  • 96
  • 51
  • 10
  • 3
  • 2
小鼠

克隆类型

  • 89
  • 73
单克隆

标记

  • 80
  • 17
  • 10
  • 4
  • 4
  • 4
  • 4
  • 4
  • 4
  • 4
  • 4
  • 3
  • 2
  • 2
  • 2
  • 2
  • 1
  • 1
  • 1
  • 1
  • 1
  • 1
  • 1
  • 1
  • 1
  • 1
  • 1
  • 1
This CST3 antibody is un-conjugated

应用范围

  • 105
  • 56
  • 51
  • 14
  • 13
  • 13
  • 11
  • 11
  • 10
  • 9
  • 9
  • 8
  • 4
  • 3
  • 3
  • 1
  • 1
  • 1
  • 1
  • 1
  • 1
  • 1
Western Blotting (WB), ELISA, Immunohistochemistry (Paraffin-embedded Sections) (IHC (p)), Immunofluorescence (IF)

克隆位点

3B6
  • 产品特性

    Monoclonal Antibody

    纯化方法

    Protein A purification

    免疫原

    Recombinant Protein of Cystatin C of CST3

    亚型

    IgG
  • 应用备注

    WB 1:1000-2000, IHC 1:100-200, IF 1:50-1:200

    限制

    仅限研究用
  • 状态

    Liquid

    浓度

    1 mg/mL

    缓冲液

    PBS with 0.02 % sodium azide, 0.5 % BSA and 50 % glycerol, pH 7.4

    储存液

    Sodium azide

    注意事项

    This product contains Sodium azide: a POISONOUS AND HAZARDOUS SUBSTANCE which should be handled by trained staff only.

    储存条件

    -20 °C

    储存方法

    Store at -20°C. Avoid freeze / thaw cycles.
  • 抗原

    CST3 (Cystatin C (CST3))

    别名

    CST3

    背景

    As an inhibitor of cysteine proteinases, this protein is thought to serve an important physiological role as a local regulator of this enzyme activity. Known to inhibit cathepsin B, H, and L.

    分子量

    14 kDa

    UniProt

    P01034
You are here: