CXCR7 抗体
Our Local Distributor
北京 101111
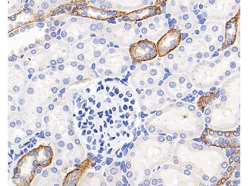
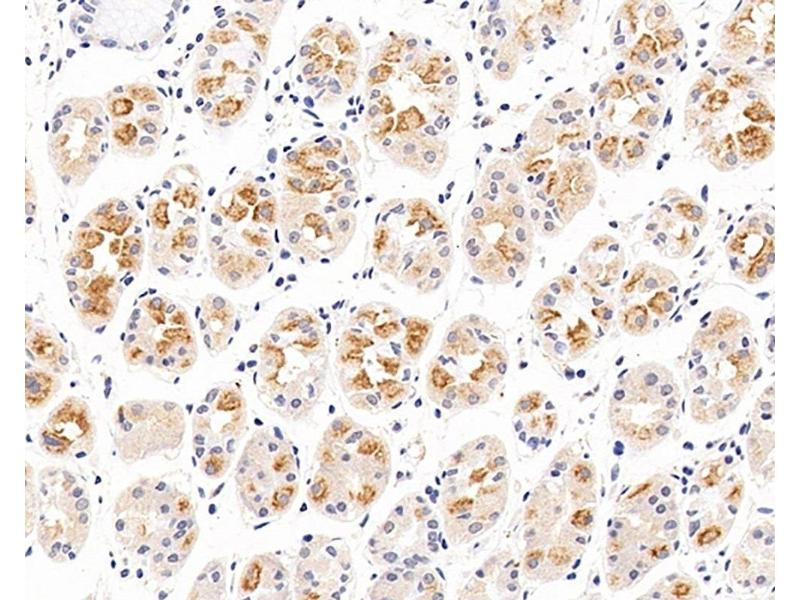
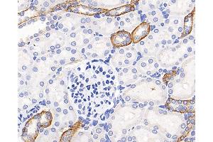
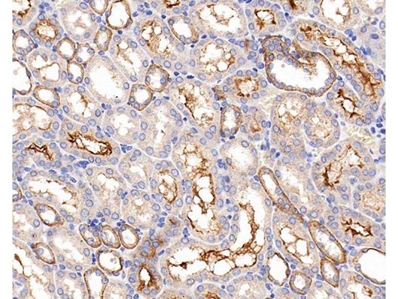
Quick Overview for CXCR7 抗体 (ABIN7249546)
抗原
See all CXCR7 抗体适用
宿主
克隆类型
标记
应用范围
-
-
产品特性
- Polyclonal Antibody
-
纯化方法
- Affinity purification
-
免疫原
- KLH conjugated Synthetic peptide corresponding to Mouse CXCR7
-
亚型
- IgG
-
-
-
-
应用备注
- IHC 1:100-1:200
-
限制
- 仅限研究用
-
-
-
状态
- Liquid
-
浓度
- 130 μg/mL
-
缓冲液
- PBS with 0.02 % sodium azide, 1 % BSA and 50 % glycerol, pH 7.4
-
储存液
- Sodium azide
-
注意事项
- This product contains Sodium azide: a POISONOUS AND HAZARDOUS SUBSTANCE which should be handled by trained staff only.
-
储存条件
- -20 °C
-
储存方法
- Store at -20°C. Avoid freeze / thaw cycles.
-
-
- CXCR7 (Chemokine (C-X-C Motif) Receptor 7 (CXCR7))
-
别名
- CXCR7
-
背景
- CXCR7 (C-X-C chemokine receptor type 7),also known as RDC1,is a member of the G-protein coupled receptor family. CXCR7 can bind the chemokines CXCL11 and CXCL12 with high affinity,and it also acts as coreceptor with CXCR4 for a restricted number of HIV isolates. Expression of CXCR7 has been associated with cardiac development as well as with tumor growth and progression.
-
UniProt
- P25106, P56485, O89039
-
途径
- Myometrial Relaxation and Contraction, Negative Regulation of intrinsic apoptotic Signaling
抗原
-