GSPT2 抗体
Our Local Distributor
北京 101111
Quick Overview for GSPT2 抗体 (ABIN7247297)
抗原
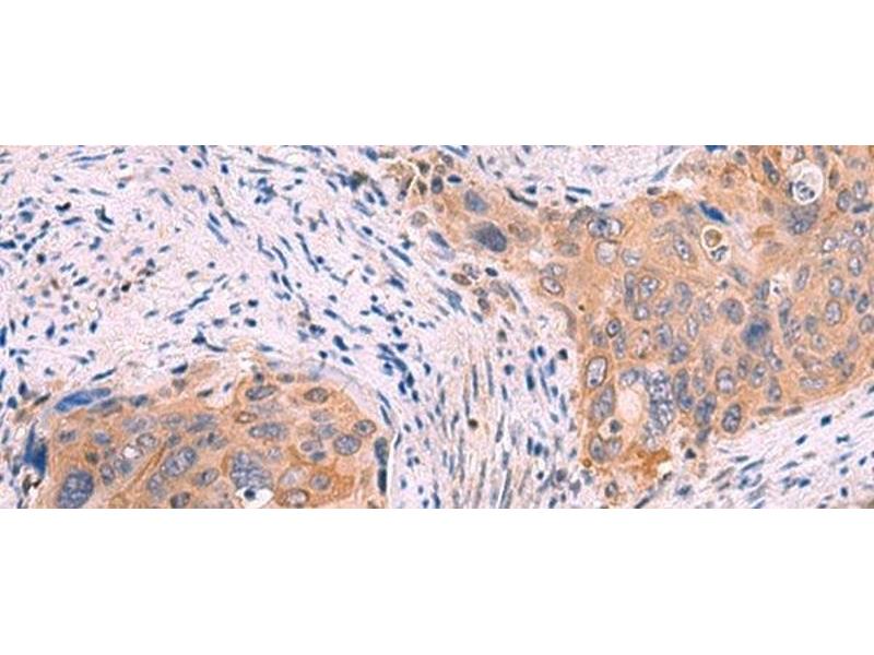
See all GSPT2 抗体适用
宿主
克隆类型
标记
应用范围
-
-
产品特性
- Polyclonal Antibody
-
纯化方法
- Antigen affinity purification
-
免疫原
- Fusion protein of human GSPT2
-
亚型
- IgG
-
-
-
-
应用备注
- WB 1:500-1:2000, IHC 1:40-1:200, ELISA 1:5000-1:10000
-
限制
- 仅限研究用
-
-
-
状态
- Liquid
-
浓度
- 0.78 mg/mL
-
缓冲液
- PBS with 0.05 % Sodium azide and 40 % Glycerol, pH 7.4
-
储存液
- Sodium azide
-
注意事项
- This product contains Sodium azide: a POISONOUS AND HAZARDOUS SUBSTANCE which should be handled by trained staff only.
-
储存条件
- -20 °C
-
储存方法
- Store at -20°C. Avoid freeze / thaw cycles.
-
-
- GSPT2 (G1 To S Phase Transition 2 (GSPT2))
-
别名
- GSPT2
-
背景
- This gene encodes a GTPase that belongs to the GTP-binding elongation factor family. The encoded protein is a polypeptide release factor that complexes with eukaryotic peptide chain release factor 1 to mediate translation termination. This protein may also be involved in mRNA stability.
-
分子量
-
Observed_MW: Refer to figures
Calculated_MW: 69 kDa
-
UniProt
- Q8IYD1
抗原
-