DDX39 抗体
Our Local Distributor
北京 101111
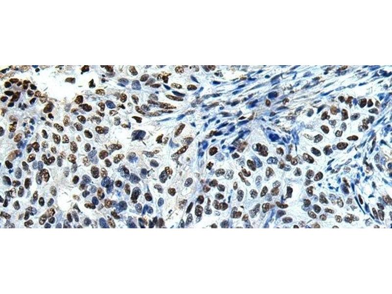
Quick Overview for DDX39 抗体 (ABIN7246205)
抗原
See all DDX39 抗体适用
宿主
克隆类型
标记
应用范围
-
-
产品特性
- Polyclonal Antibody
-
纯化方法
- Antigen affinity purification
-
免疫原
- Fusion protein of human DDX39A
-
亚型
- IgG
-
-
-
-
应用备注
- IHC 1:50-1:200, ELISA 1:5000-1:10000
-
限制
- 仅限研究用
-
-
-
状态
- Liquid
-
浓度
- 0.96 mg/mL
-
缓冲液
- PBS with 0.05 % Sodium azide and 40 % Glycerol, pH 7.4
-
储存液
- Sodium azide
-
注意事项
- This product contains Sodium azide: a POISONOUS AND HAZARDOUS SUBSTANCE which should be handled by trained staff only.
-
储存条件
- -20 °C
-
储存方法
- Store at -20°C. Avoid freeze / thaw cycles.
-
-
- DDX39 (DEAD (Asp-Glu-Ala-Asp) Box Polypeptide 39A (DDX39))
-
别名
- DDX39A
-
背景
- This gene encodes a member of the DEAD box protein family. These proteins are characterized by the conserved motif Asp-Glu-Ala-Asp (DEAD) and are putative RNA helicases. They are implicated in a number of cellular processes involving alteration of RNA secondary structure, such as translation initiation, nuclear and mitochondrial splicing, and ribosome and spliceosome assembly. Based on their distribution patterns, some members of the DEAD box protein family are believed to be involved in embryogenesis, spermatogenesis, and cellular growth and division. This gene is thought to play a role in the prognosis of patients with gastrointestinal stromal tumors. A pseudogene of this gene is present on chromosome 13. Alternate splicing results in multiple transcript variants. Additional alternatively spliced transcript variants of this gene have been described, but their full-length nature is not known.
-
UniProt
- O00148
抗原
-