C16orf45 抗体
Our Local Distributor
北京 101111
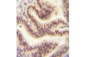
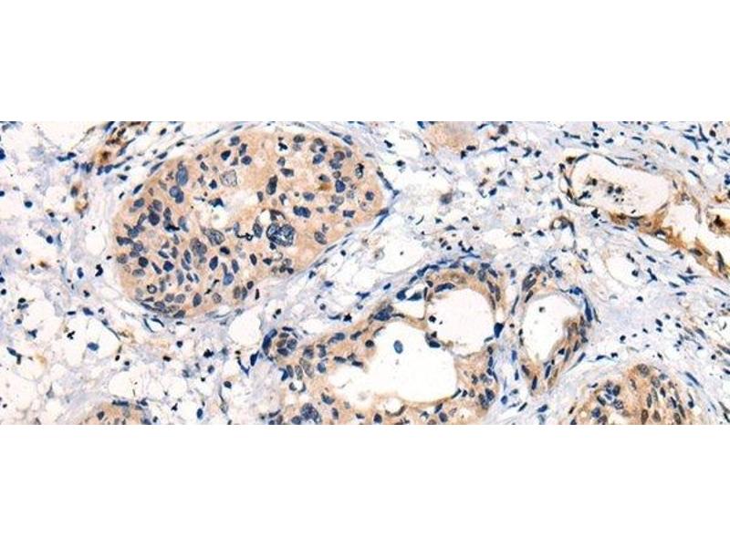
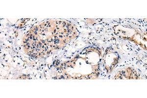
Quick Overview for C16orf45 抗体 (ABIN7244585)
抗原
适用
宿主
克隆类型
标记
应用范围
-
-
产品特性
- Polyclonal Antibody
-
纯化方法
- Antigen affinity purification
-
免疫原
- Synthetic peptide of human C16orf45
-
亚型
- IgG
-
-
-
-
应用备注
- IHC 1:30-1:150, ELISA 1:5000-1:10000
-
限制
- 仅限研究用
-
-
-
状态
- Liquid
-
浓度
- 0.7 mg/mL
-
缓冲液
- PBS with 0.05 % Sodium azide and 40 % Glycerol, pH 7.4
-
储存液
- Sodium azide
-
注意事项
- This product contains Sodium azide: a POISONOUS AND HAZARDOUS SUBSTANCE which should be handled by trained staff only.
-
储存条件
- -20 °C
-
储存方法
- Store at -20°C. Avoid freeze / thaw cycles.
-
-
- C16orf45 (Chromosome 16 Open Reading Frame 45 (C16orf45))
-
别名
- C16orf45
-
背景
- C16orf45, also known as FLJ32618, is a 204 amino acid protein encoded by a gene mapping to human chromosome 16. Chromosome 16 encodes over 900 genes in approximately 90 million base pairs, makes up nearly 3 % of human cellular DNA and is associated with a variety of genetic disorders. The GAN gene is located on chromosome 16 and, with mutation, may lead to giant axonal neuropathy, a nervous system disorder characterized by increasing malfunction with growth. The rare disorder Rubinstein-Taybi syndrome is also associated with chromosome 16, though through the CREBBP gene which encodes a critical CREB binding protein. Signs of Rubinstein-Taybi include mental retardation and predisposition to tumor growth and white blood cell neoplasias. Crohn's disease is a gastrointestinal inflammatory condition associated with chromosome 16 through the NOD2 gene. An association with systemic lupus erythematosis and a number of other autoimmune disorders with the pericentromeric region of chromosome 16 has led to the identification of SLC5A11 as a potential autoimmune modifier.
-
UniProt
- Q96MC5
抗原
-