电话:
+86 (0512) 65829739
传真:
+86 (010) 6788 5057
电子邮件:
orders@antibodies-online.cn

Carboxypeptidase A2 抗体

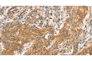
The 兔 多克隆 anti-Carboxypeptidase A2 antibody (ABIN7241063) specifically detects Carboxypeptidase A2 in ELISA 和 IHC. The antibody is reactive with 人, 小鼠 和 大鼠 samples.
产品编号 ABIN7241063
发货至: 中国
Contact our Customer Service for availability and price in your country. Contact Info

Our Local Distributor

中国
北京 101111
No. 88 KeChuang 6th Street
Beijing Economic Technological Development Area
Room 801-803
4A Biotech Co.,Ltd.
Tel +86 (0512) 65829739 传真 +86 (010) 6788 5057

Quick Overview for Carboxypeptidase A2 抗体 (ABIN7241063)

抗原

See all Carboxypeptidase A2 (CPA2) 抗体
Carboxypeptidase A2 (CPA2) (Carboxypeptidase A2 (Pancreatic) (CPA2))

适用

  • 35
  • 26
  • 8
  • 1
  • 1
  • 1
  • 1
  • 1
人, 小鼠, 大鼠

宿主

  • 44
  • 9

克隆类型

  • 45
  • 8
多克隆

标记

  • 24
  • 4
  • 3
  • 3
  • 1
  • 1
  • 1
  • 1
  • 1
  • 1
  • 1
  • 1
  • 1
  • 1
  • 1
  • 1
  • 1
  • 1
  • 1
  • 1
  • 1
  • 1
  • 1
This Carboxypeptidase A2 antibody is un-conjugated

应用范围

  • 43
  • 20
  • 13
  • 13
  • 8
  • 7
  • 7
  • 3
  • 2
  • 2
  • 2
  • 2
  • 1
  • 1
ELISA, Immunohistochemistry (IHC)
You are here: