ASB2 抗体
Our Local Distributor
北京 101111
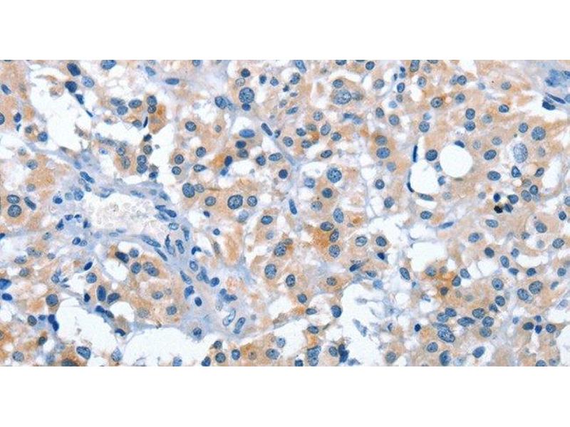
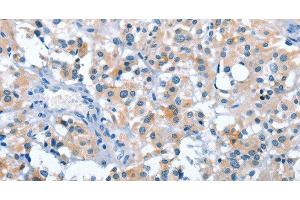
Quick Overview for ASB2 抗体 (ABIN7236329)
抗原
See all ASB2 抗体适用
宿主
克隆类型
标记
应用范围
-
-
产品特性
- Polyclonal Antibody
-
纯化方法
- Affinity purification
-
免疫原
- Recombinant protein of human ASB2
-
亚型
- IgG
-
-
-
-
应用备注
- IHC 1:25-1:100
-
限制
- 仅限研究用
-
-
-
状态
- Liquid
-
浓度
- 0.7 mg/mL
-
缓冲液
- PBS with 0.05 % sodium azide and 50 % glycerol, PH7.4
-
储存液
- Sodium azide
-
注意事项
- This product contains Sodium azide: a POISONOUS AND HAZARDOUS SUBSTANCE which should be handled by trained staff only.
-
储存条件
- -20 °C
-
储存方法
- Store at -20°C. Avoid freeze / thaw cycles.
-
-
- ASB2 (Ankyrin Repeat and SOCS Box-Containing 2 (ASB2))
-
别名
- ASB2
-
背景
- This gene encodes a member of the ankyrin repeat and SOCS box-containing (ASB) protein family. These proteins play a role in protein degradation by coupling suppressor of cytokine signalling (SOCS) proteins with the elongin BC complex. The encoded protein is a subunit of a multimeric E3 ubiquitin ligase complex that mediates the degradation of actin-binding proteins. This gene plays a role in retinoic acid-induced growth inhibition and differentiation of myeloid leukemia cells. Alternatively spliced transcript variants encoding multiple isoforms have been observed for this gene.
-
UniProt
- Q96Q27
抗原
-