电话:
+86 (0512) 65829739
传真:
+86 (010) 6788 5057
电子邮件:
orders@antibodies-online.cn

PROS1 抗体

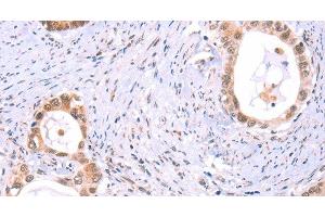
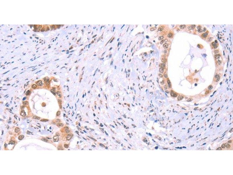
The 兔 多克隆 anti-PROS1 antibody (ABIN7235682) specifically detects PROS1 in ELISA 和 IHC. The antibody is reactive with 人 samples.
产品编号 ABIN7235682
发货至: 中国
Contact our Customer Service for availability and price in your country. Contact Info

Our Local Distributor

中国
北京 101111
No. 88 KeChuang 6th Street
Beijing Economic Technological Development Area
Room 801-803
4A Biotech Co.,Ltd.
Tel +86 (0512) 65829739 传真 +86 (010) 6788 5057

Quick Overview for PROS1 抗体 (ABIN7235682)

抗原

See all PROS1 (PROS) 抗体
PROS1 (PROS) (Protein S (PROS))

适用

  • 87
  • 29
  • 29
  • 4
  • 4
  • 3
  • 3
  • 2
  • 2
  • 1
  • 1
  • 1

宿主

  • 65
  • 11
  • 7
  • 6
  • 5

克隆类型

  • 80
  • 14
多克隆

标记

  • 52
  • 8
  • 7
  • 6
  • 2
  • 1
  • 1
  • 1
  • 1
  • 1
  • 1
  • 1
  • 1
  • 1
  • 1
  • 1
  • 1
  • 1
  • 1
  • 1
  • 1
  • 1
  • 1
  • 1
This PROS1 antibody is un-conjugated

应用范围

  • 68
  • 33
  • 18
  • 13
  • 10
  • 10
  • 9
  • 7
  • 6
  • 5
  • 4
  • 3
  • 3
  • 2
  • 2
  • 2
  • 2
  • 1
  • 1
ELISA, Immunohistochemistry (IHC)
  • 产品特性

    Polyclonal Antibody

    纯化方法

    Affinity purification

    免疫原

    Recombinant protein of human PROS1

    亚型

    IgG
  • 应用备注

    IHC 1:50-1:200

    限制

    仅限研究用
  • 状态

    Liquid

    浓度

    0.4 mg/mL

    缓冲液

    PBS with 0.05 % sodium azide and 50 % glycerol, PH7.4

    储存液

    Sodium azide

    注意事项

    This product contains Sodium azide: a POISONOUS AND HAZARDOUS SUBSTANCE which should be handled by trained staff only.

    储存条件

    -20 °C

    储存方法

    Store at -20°C. Avoid freeze / thaw cycles.
  • 抗原

    PROS1 (PROS) (Protein S (PROS))

    别名

    PROS1

    背景

    This gene encodes a vitamin K-dependent plasma protein that functions as a cofactor for the anticoagulant protease, activated protein C (APC) to inhibit blood coagulation. It is found in plasma in both a free, functionally active form and also in an inactive form complexed with C4b-binding protein. Mutations in this gene result in autosomal dominant hereditary thrombophilia. An inactive pseudogene of this locus is located at an adjacent region on chromosome 3.

    UniProt

    P07225
You are here: