ITPKB 抗体
Our Local Distributor
北京 101111
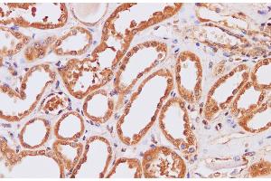
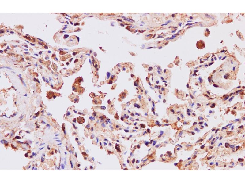
Quick Overview for ITPKB 抗体 (ABIN7233907)
抗原
See all ITPKB 抗体适用
宿主
克隆类型
标记
应用范围
-
-
产品特性
- Polyclonal Antibody
-
纯化方法
- Affinity purification
-
免疫原
- Recombinant Human Inositol-trisphosphate 3-kinase B protien
-
亚型
- IgG
-
-
-
-
应用备注
- IHC 1:100-1:400
-
限制
- 仅限研究用
-
-
-
状态
- Liquid
-
浓度
- 2 mg/mL
-
缓冲液
- PBS with 0.05 % Proclin300 and 50 % glycerol, pH 7.4.
-
储存液
- ProClin
-
注意事项
- This product contains ProClin: a POISONOUS AND HAZARDOUS SUBSTANCE which should be handled by trained staff only.
-
储存条件
- -20 °C
-
储存方法
- Store at -20°C. Avoid freeze / thaw cycles.
-
-
- ITPKB (Inositol-Trisphosphate 3-Kinase B (ITPKB))
-
别名
- IP3KB
-
背景
- The protein encoded by this protein regulates inositol phosphate metabolism by phosphorylation of second messenger inositol 1,4,5-trisphosphate to Ins(1,3,4,5)P4. The activity of this encoded protein is responsible for regulating the levels of a large number of inositol polyphosphates that are important in cellular signaling. Both calcium/calmodulin and protein phosphorylation mechanisms control its activity.
-
UniProt
- P27987
抗原
-