电话:
+86 (0512) 65829739
传真:
+86 (010) 6788 5057
电子邮件:
orders@antibodies-online.cn

RNASE10 抗体 (AA 27-216)

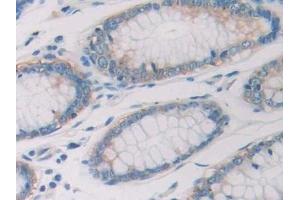
The 兔 多克隆 anti-RNASE10 antibody (ABIN7430252) specifically detects RNASE10 in WB, ICC, IHC 和 IP. The antibody is reactive with 人 samples.
产品编号 ABIN7430252
发货至: 中国
Contact our Customer Service for availability and price in your country. Contact Info

Our Local Distributor

中国
北京 101111
No. 88 KeChuang 6th Street
Beijing Economic Technological Development Area
Room 801-803
4A Biotech Co.,Ltd.
Tel +86 (0512) 65829739 传真 +86 (010) 6788 5057

Quick Overview for RNASE10 抗体 (AA 27-216) (ABIN7430252)

抗原

See all RNASE10 抗体
RNASE10 (Ribonuclease, RNase A Family, 10 (Non-Active) (RNASE10))

适用

宿主

  • 1
  • 1

克隆类型

  • 2
多克隆

标记

  • 1
  • 1
This RNASE10 antibody is un-conjugated

应用范围

Western Blotting (WB), Immunocytochemistry (ICC), Immunohistochemistry (IHC), Immunoprecipitation (IP)
  • 抗原表位

    • 1
    • 1
    AA 27-216

    原理

    Polyclonal Antibody to Ribonuclease A10 (RNASE10)

    特异性

    The antibody is a rabbit polyclonal antibody raised against RNASE10. It has been selected for its ability to recognize RNASE10 in immunohistochemical staining and western blotting.

    纯化方法

    Antigen-specific affinity chromatography followed by Protein A affinity chromatography

    免疫原

    Recombinant Ribonuclease A10 (RNASE10) corresdonding to Leu27~Gln216 (Accession # Q5GAN6)

    亚型

    IgG
  • 应用备注

    Western blotting: 0.5-2 μg/mL,Immunohistochemistry: 5-20 μg/mL,Immunocytochemistry: 5-20 μg/mL,Optimal working dilutions must be determined by end user.

    说明

    The thermal stability is described by the loss rate. The loss rate was determined by accelerated thermal degradation test, that is, incubate the protein at 37°C for 48h, and no obvious degradation and precipitation were observed. The loss rate is less than 5% within the expiration date under appropriate storage condition.

    限制

    仅限研究用
  • 状态

    Liquid

    浓度

    0.42 mg/mL

    缓冲液

    0.01M PBS, pH 7.4, containing 0.05 % Proclin-300, 50 % glycerol.

    储存液

    ProClin

    注意事项

    This product contains ProClin: a POISONOUS AND HAZARDOUS SUBSTANCE which should be handled by trained staff only.

    储存条件

    4 °C,-20 °C

    储存方法

    Store at 4°C for frequent use. Stored at -20°C in a manual defrost freezer for two year without detectable loss of activity. Avoid repeated freeze-thaw cycles.

    有效期

    24 months
  • 抗原

    RNASE10 (Ribonuclease, RNase A Family, 10 (Non-Active) (RNASE10))

    别名

    RNASE10

    背景

    RNASE9, Inactive ribonuclease-like protein 10

    UniProt

    Q5GAN6
You are here: