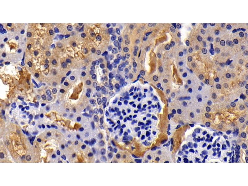
ISLR 抗体 (AA 19-428)
Our Local Distributor
北京 101111
Quick Overview for ISLR 抗体 (AA 19-428) (ABIN7441502)
抗原
See all ISLR 抗体适用
宿主
克隆类型
标记
应用范围
-
-
抗原表位
- AA 19-428
-
原理
- Polyclonal Antibody to Immunoglobulin Superfamily Containing Leucine Rich Repeat Protein (ISLR)
-
特异性
- The antibody is a rabbit polyclonal antibody raised against ISLR. It has been selected for its ability to recognize ISLR in immunohistochemical staining and western blotting.
-
交叉反应
- 小鼠, 大鼠
-
纯化方法
- Antigen-specific affinity chromatography followed by Protein A affinity chromatography
-
免疫原
- Recombinant Immunoglobulin Superfamily Containing Leucine Rich Repeat Protein (ISLR) corresdonding to Cys19~Phe428 with N-terminal His Tag
-
亚型
- IgG
-
-
-
-
应用备注
- Western blotting: 0.01-2 μg/mL,Immunohistochemistry: 5-20 μg/mL,Immunocytochemistry: 5-20 μg/mL,Optimal working dilutions must be determined by end user.
-
说明
-
The thermal stability is described by the loss rate. The loss rate was determined by accelerated thermal degradation test, that is, incubate the protein at 37°C for 48h, and no obvious degradation and precipitation were observed. The loss rate is less than 5% within the expiration date under appropriate storage condition.
-
限制
- 仅限研究用
-
-
-
状态
- Liquid
-
浓度
- 0.5 mg/mL
-
缓冲液
- 0.01M PBS, pH 7.4, containing 0.05 % Proclin-300, 50 % glycerol.
-
储存液
- ProClin
-
注意事项
- This product contains ProClin: a POISONOUS AND HAZARDOUS SUBSTANCE which should be handled by trained staff only.
-
储存条件
- 4 °C,-20 °C
-
储存方法
- Store at 4°C for frequent use. Stored at -20°C in a manual defrost freezer for two year without detectable loss of activity. Avoid repeated freeze-thaw cycles.
-
有效期
- 24 months
-
-
- ISLR (Immunoglobulin Superfamily Containing Leucine Rich Repeat Protein (ISLR))
-
别名
- ISLR
-
UniProt
- O14498
抗原
-