电话:
+86 (0512) 65829739
传真:
+86 (010) 6788 5057
电子邮件:
orders@antibodies-online.cn

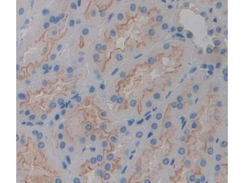
PLCH2 抗体 (AA 1-257)

The 兔 多克隆 anti-PLCH2 antibody is suitable to detect PLCH2 in samples from 人. It has been validated for WB, IHC, IP 和 ICC.
产品编号 ABIN7445033
发货至: 中国
Contact our Customer Service for availability and price in your country. Contact Info

Our Local Distributor

中国
北京 101111
No. 88 KeChuang 6th Street
Beijing Economic Technological Development Area
Room 801-803
4A Biotech Co.,Ltd.
Tel +86 (0512) 65829739 传真 +86 (010) 6788 5057

Quick Overview for PLCH2 抗体 (AA 1-257) (ABIN7445033)

抗原

PLCH2 (PLCh2) (Phospholipase C eta 2 (PLCh2))

适用

  • 4
  • 4

宿主

  • 4

克隆类型

  • 4
多克隆

标记

  • 4
This PLCH2 antibody is un-conjugated

应用范围

Western Blotting (WB), Immunohistochemistry (IHC), Immunoprecipitation (IP), Immunocytochemistry (ICC)
  • 抗原表位

    • 2
    • 1
    • 1
    AA 1-257

    原理

    Polyclonal Antibody to Phospholipase C Eta 2 (PLCh2)

    特异性

    The antibody is a rabbit polyclonal antibody raised against PLCh2. It has been selected for its ability to recognize PLCh2 in immunohistochemical staining and western blotting.

    交叉反应

    小鼠, 大鼠

    纯化方法

    Antigen-specific affinity chromatography followed by Protein A affinity chromatography

    免疫原

    Recombinant Phospholipase C Eta 2 (PLCh2) corresdonding to Met1~His257

    亚型

    IgG
  • 应用备注

    Western blotting: 0.01-2 μg/mL,Immunohistochemistry: 5-20 μg/mL,Immunocytochemistry: 5-20 μg/mL,Optimal working dilutions must be determined by end user.

    说明

    The thermal stability is described by the loss rate. The loss rate was determined by accelerated thermal degradation test, that is, incubate the protein at 37°C for 48h, and no obvious degradation and precipitation were observed. The loss rate is less than 5% within the expiration date under appropriate storage condition.

    限制

    仅限研究用
  • 状态

    Liquid

    浓度

    0.5 mg/mL

    缓冲液

    PBS, pH 7.4, containing 0.02 % Sodium azide, 50 % glycerol.

    储存液

    Sodium azide

    注意事项

    This product contains Sodium azide: a POISONOUS AND HAZARDOUS SUBSTANCE which should be handled by trained staff only.

    储存条件

    4 °C,-20 °C

    储存方法

    Store at 4°C for frequent use. Stored at -20°C in a manual defrost freezer for two year without detectable loss of activity. Avoid repeated freeze-thaw cycles.

    有效期

    24 months
  • 抗原

    PLCH2 (PLCh2) (Phospholipase C eta 2 (PLCh2))

    别名

    PLCh2

    背景

    PLCL4, PLCeta2, RP3-395M20.1, PLC-eta2, Phospholipase C-like 4, Phosphoinositide phospholipase C-like 4, 1-phosphatidylinositol 4,5-bisphosphate phosphodiesterase eta-2

    UniProt

    O75038
You are here: