电话:
+86 (0512) 65829739
传真:
+86 (010) 6788 5057
电子邮件:
orders@antibodies-online.cn

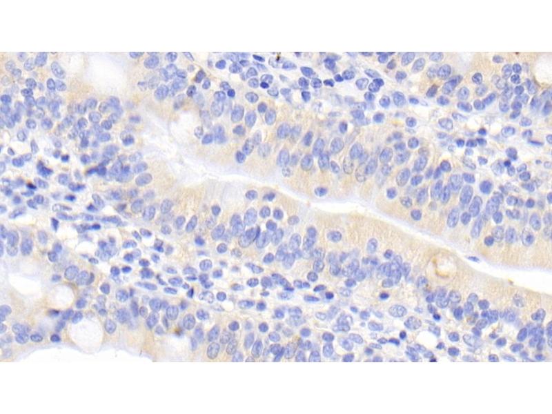
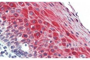
Urocortin 2 抗体 (AA 20-112)

The 兔 多克隆 anti-Urocortin 2 antibody is suitable to detect Urocortin 2 in samples from 人. It has been validated for WB 和 IHC.
产品编号 ABIN7435022
发货至: 中国
Contact our Customer Service for availability and price in your country. Contact Info

Our Local Distributor

中国
北京 101111
No. 88 KeChuang 6th Street
Beijing Economic Technological Development Area
Room 801-803
4A Biotech Co.,Ltd.
Tel +86 (0512) 65829739 传真 +86 (010) 6788 5057

Quick Overview for Urocortin 2 抗体 (AA 20-112) (ABIN7435022)

抗原

See all Urocortin 2 (UCN2) 抗体
Urocortin 2 (UCN2)

适用

  • 33
  • 5
  • 3

宿主

  • 28
  • 9

克隆类型

  • 28
  • 9
多克隆

标记

  • 16
  • 8
  • 6
  • 1
  • 1
  • 1
  • 1
  • 1
  • 1
  • 1
This Urocortin 2 antibody is un-conjugated

应用范围

  • 24
  • 15
  • 10
  • 8
  • 6
  • 3
  • 3
  • 3
Western Blotting (WB), Immunohistochemistry (IHC)
  • 抗原表位

    • 7
    • 5
    • 2
    • 1
    • 1
    • 1
    • 1
    • 1
    • 1
    • 1
    AA 20-112

    原理

    Polyclonal Antibody to Urocortin 2 (UCN2)

    特异性

    The antibody is a rabbit polyclonal antibody raised against UCN2. It has been selected for its ability to recognize UCN2 in immunohistochemical staining and western blotting.

    交叉反应

    Cow, Pig, 大鼠

    纯化方法

    Antigen-specific affinity chromatography followed by Protein A affinity chromatography

    免疫原

    Recombinant Urocortin 2 (UCN2) corresdonding to Val20~Cys112 with N-terminal His Tag

    亚型

    IgG
  • 应用备注

    Western blotting: 0.01-2 μg/mL,Immunohistochemistry: 5-20 μg/mL,Optimal working dilutions must be determined by end user.

    说明

    The thermal stability is described by the loss rate. The loss rate was determined by accelerated thermal degradation test, that is, incubate the protein at 37°C for 48h, and no obvious degradation and precipitation were observed. The loss rate is less than 5% within the expiration date under appropriate storage condition.

    限制

    仅限研究用
  • 状态

    Liquid

    浓度

    0.5 mg/mL

    缓冲液

    0.01M PBS, pH 7.4, containing 0.05 % Proclin-300, 50 % glycerol.

    储存液

    ProClin

    注意事项

    This product contains ProClin: a POISONOUS AND HAZARDOUS SUBSTANCE which should be handled by trained staff only.

    储存条件

    4 °C,-20 °C

    储存方法

    Store at 4°C for frequent use. Stored at -20°C in a manual defrost freezer for two year without detectable loss of activity. Avoid repeated freeze-thaw cycles.

    有效期

    24 months
  • 抗原

    Urocortin 2 (UCN2)

    别名

    UCN2

    背景

    URP, SRP, UCN-II, UCNII, Stresscopin-Related Peptide, Urocortin-related peptide

    UniProt

    Q96RP3

    途径

    Positive Regulation of Peptide Hormone Secretion, Negative Regulation of Hormone Secretion, cAMP Metabolic Process
You are here: