电话:
+86 (0512) 65829739
传真:
+86 (010) 6788 5057
电子邮件:
orders@antibodies-online.cn

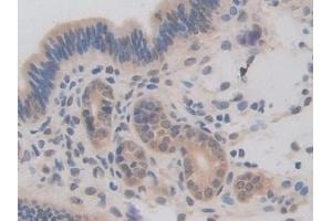
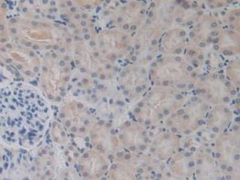
BMP15 抗体 (AA 274-390)

The 兔 多克隆 anti-BMP15 antibody is suitable to detect BMP15 in samples from 小鼠. It has been validated for WB, IHC 和 ICC.
产品编号 ABIN7441940
发货至: 中国
Contact our Customer Service for availability and price in your country. Contact Info

Our Local Distributor

中国
北京 101111
No. 88 KeChuang 6th Street
Beijing Economic Technological Development Area
Room 801-803
4A Biotech Co.,Ltd.
Tel +86 (0512) 65829739 传真 +86 (010) 6788 5057

Quick Overview for BMP15 抗体 (AA 274-390) (ABIN7441940)

抗原

See all BMP15 抗体
BMP15 (Bone Morphogenetic Protein 15 (BMP15))

适用

  • 58
  • 26
  • 25
小鼠

宿主

  • 55
  • 4
  • 1

克隆类型

  • 45
  • 15
多克隆

标记

  • 26
  • 3
  • 2
  • 2
  • 2
  • 2
  • 2
  • 2
  • 2
  • 2
  • 1
  • 1
  • 1
  • 1
  • 1
  • 1
  • 1
  • 1
  • 1
  • 1
  • 1
  • 1
  • 1
  • 1
  • 1
This BMP15 antibody is un-conjugated

应用范围

  • 50
  • 17
  • 10
  • 7
  • 5
  • 3
  • 3
  • 2
  • 1
  • 1
  • 1
Western Blotting (WB), Immunohistochemistry (IHC), Immunocytochemistry (ICC)
  • 抗原表位

    • 7
    • 5
    • 3
    • 2
    • 2
    • 2
    • 1
    • 1
    • 1
    • 1
    • 1
    • 1
    AA 274-390

    原理

    Polyclonal Antibody to Bone Morphogenetic Protein 15 (BMP15)

    特异性

    The antibody is a rabbit polyclonal antibody raised against BMP15. It has been selected for its ability to recognize BMP15 in immunohistochemical staining and western blotting.

    纯化方法

    Antigen-specific affinity chromatography followed by Protein A affinity chromatography

    免疫原

    Recombinant Bone Morphogenetic Protein 15 (BMP15) corresdonding to Ser274~Thr390 with N-terminal His Tag

    亚型

    IgG
  • 应用备注

    Western blotting: 0.01-2 μg/mL,Immunohistochemistry: 5-20 μg/mL,Immunocytochemistry: 5-20 μg/mL,Optimal working dilutions must be determined by end user.

    说明

    The thermal stability is described by the loss rate. The loss rate was determined by accelerated thermal degradation test, that is, incubate the protein at 37°C for 48h, and no obvious degradation and precipitation were observed. The loss rate is less than 5% within the expiration date under appropriate storage condition.

    限制

    仅限研究用
  • 状态

    Liquid

    浓度

    500 μg/mL

    缓冲液

    PBS, pH 7.4, containing 0.02 % Sodium azide, 50 % glycerol.

    储存液

    Sodium azide

    注意事项

    This product contains Sodium azide: a POISONOUS AND HAZARDOUS SUBSTANCE which should be handled by trained staff only.

    储存条件

    4 °C,-20 °C

    储存方法

    Store at 4°C for frequent use. Stored at -20°C in a manual defrost freezer for two year without detectable loss of activity. Avoid repeated freeze-thaw cycles.

    有效期

    24 months
  • 抗原

    BMP15 (Bone Morphogenetic Protein 15 (BMP15))

    别名

    BMP15

    背景

    GDF9B, GDF9-B, ODG2, POF4, Growth/differentiation factor 9B

    UniProt

    Q9Z0L4
You are here: