电话:
+86 (0512) 65829739
传真:
+86 (010) 6788 5057
电子邮件:
orders@antibodies-online.cn

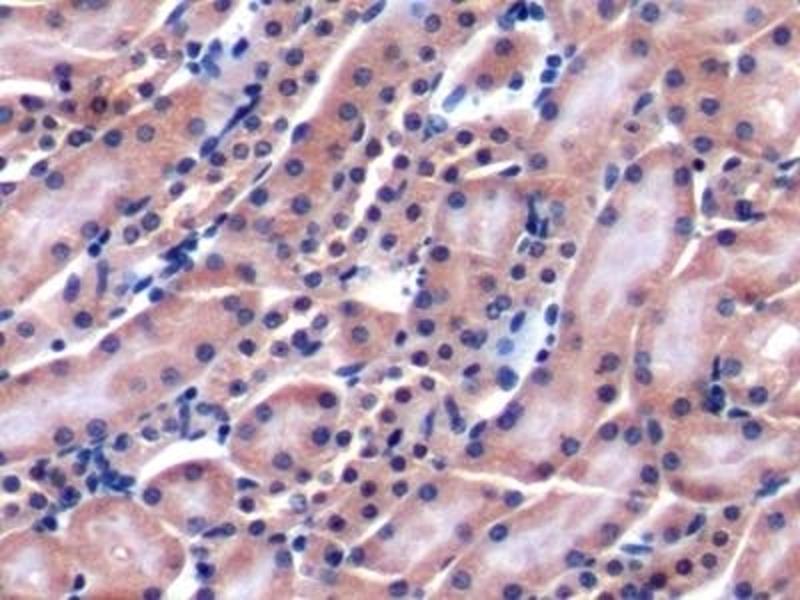
LY9 抗体 (AA 384-642)

The 兔 多克隆 anti-LY9 antibody (ABIN7438622) specifically detects LY9 in WB 和 IHC. The antibody is reactive with 小鼠 samples.
产品编号 ABIN7438622
发货至: 中国
Contact our Customer Service for availability and price in your country. Contact Info

Our Local Distributor

中国
北京 101111
No. 88 KeChuang 6th Street
Beijing Economic Technological Development Area
Room 801-803
4A Biotech Co.,Ltd.
Tel +86 (0512) 65829739 传真 +86 (010) 6788 5057

Quick Overview for LY9 抗体 (AA 384-642) (ABIN7438622)

抗原

See all LY9 (CD229) 抗体
LY9 (CD229) (Lymphocyte Antigen 9 (CD229))

适用

  • 49
  • 11
  • 4
  • 1
小鼠

宿主

  • 36
  • 18
  • 1

克隆类型

  • 34
  • 21
多克隆

标记

  • 30
  • 4
  • 4
  • 3
  • 2
  • 1
  • 1
  • 1
  • 1
  • 1
  • 1
  • 1
  • 1
  • 1
  • 1
  • 1
  • 1
This LY9 antibody is un-conjugated

应用范围

  • 25
  • 17
  • 14
  • 13
  • 13
  • 12
  • 12
  • 10
  • 5
  • 4
  • 4
  • 4
  • 3
  • 1
  • 1
Western Blotting (WB), Immunohistochemistry (IHC)
  • 抗原表位

    • 15
    • 3
    • 2
    • 2
    • 1
    • 1
    • 1
    • 1
    • 1
    • 1
    • 1
    • 1
    AA 384-642

    原理

    Polyclonal Antibody to Cluster Of Differentiation 229 (CD229)

    特异性

    The antibody is a rabbit polyclonal antibody raised against CD229. It has been selected for its ability to recognize CD229 in immunohistochemical staining and western blotting.

    纯化方法

    Antigen-specific affinity chromatography followed by Protein A affinity chromatography

    免疫原

    Recombinant Cluster Of Differentiation 229 (CD229) corresdonding to Val384~Ala642 (Accession # Q01965)

    亚型

    IgG
  • 应用备注

    Western blotting: 0.01-2 μg/mL,Immunohistochemistry: 5-20 μg/mL,Immunocytochemistry: 5-20 μg/mL,Optimal working dilutions must be determined by end user.

    说明

    The thermal stability is described by the loss rate. The loss rate was determined by accelerated thermal degradation test, that is, incubate the protein at 37°C for 48h, and no obvious degradation and precipitation were observed. The loss rate is less than 5% within the expiration date under appropriate storage condition.

    限制

    仅限研究用
  • 状态

    Liquid

    浓度

    0.5 mg/mL

    缓冲液

    0.01M PBS, pH 7.4, containing 0.05 % Proclin-300, 50 % glycerol.

    储存液

    ProClin

    注意事项

    This product contains ProClin: a POISONOUS AND HAZARDOUS SUBSTANCE which should be handled by trained staff only.

    储存条件

    4 °C,-20 °C

    储存方法

    Store at 4°C for frequent use. Stored at -20°C in a manual defrost freezer for two year without detectable loss of activity. Avoid repeated freeze-thaw cycles.

    有效期

    24 months
  • 抗原

    LY9 (CD229) (Lymphocyte Antigen 9 (CD229))

    别名

    CD229

    背景

    LY9, SLAMF3, Hly9, Mly9, SLAMF3, Lymphocyte Antigen 9, Cell surface molecule Ly-9, Signaling lymphocytic activation molecule 3

    UniProt

    Q01965

    途径

    BCR Signaling
You are here: