电话:
+86 (0512) 65829739
传真:
+86 (010) 6788 5057
电子邮件:
orders@antibodies-online.cn

MYLK 抗体 (AA 1684-1884)

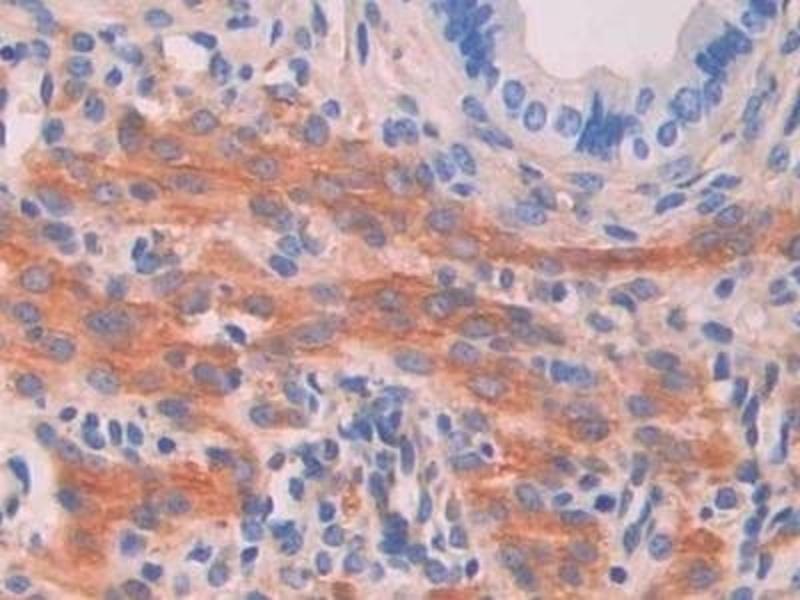
The 兔 多克隆 anti-MYLK antibody (ABIN7439105) specifically detects MYLK in WB, IHC, ICC 和 IP. The antibody is reactive with 小鼠 samples.
产品编号 ABIN7439105
发货至: 中国
Contact our Customer Service for availability and price in your country. Contact Info

Our Local Distributor

中国
北京 101111
No. 88 KeChuang 6th Street
Beijing Economic Technological Development Area
Room 801-803
4A Biotech Co.,Ltd.
Tel +86 (0512) 65829739 传真 +86 (010) 6788 5057

Quick Overview for MYLK 抗体 (AA 1684-1884) (ABIN7439105)

抗原

See all MYLK 抗体
MYLK (Myosin Light Chain Kinase (MYLK))

适用

  • 75
  • 52
  • 46
  • 2
  • 2
  • 1
  • 1
小鼠

宿主

  • 81
  • 5
  • 3
  • 1

克隆类型

  • 66
  • 24
多克隆

标记

  • 42
  • 7
  • 5
  • 3
  • 3
  • 3
  • 3
  • 3
  • 3
  • 3
  • 1
  • 1
  • 1
  • 1
  • 1
  • 1
  • 1
  • 1
  • 1
  • 1
  • 1
  • 1
  • 1
  • 1
  • 1
This MYLK antibody is un-conjugated

应用范围

  • 51
  • 36
  • 35
  • 14
  • 14
  • 13
  • 13
  • 12
  • 7
  • 5
  • 3
  • 2
  • 1
  • 1
Western Blotting (WB), Immunohistochemistry (IHC), Immunocytochemistry (ICC), Immunoprecipitation (IP)
  • 抗原表位

    • 15
    • 8
    • 5
    • 4
    • 3
    • 2
    • 2
    • 2
    • 2
    • 1
    • 1
    • 1
    • 1
    • 1
    • 1
    • 1
    • 1
    • 1
    • 1
    • 1
    • 1
    • 1
    • 1
    • 1
    AA 1684-1884

    原理

    Polyclonal Antibody to Myosin Light Chain Kinase (MYLK)

    特异性

    The antibody is a rabbit polyclonal antibody raised against MYLK. It has been selected for its ability to recognize MYLK in immunohistochemical staining and western blotting.

    纯化方法

    Antigen-specific affinity chromatography followed by Protein A affinity chromatography

    免疫原

    Recombinant Myosin Light Chain Kinase (MYLK) corresdonding to Met1684~Asp1884 (Accession # Q6PDN3) with N-terminal His and GST Tag

    亚型

    IgG
  • 应用备注

    Western blotting: 0.5-2 μg/mL,Immunohistochemistry: 5-20 μg/mL,Immunocytochemistry: 5-20 μg/mL,Optimal working dilutions must be determined by end user.

    说明

    The thermal stability is described by the loss rate. The loss rate was determined by accelerated thermal degradation test, that is, incubate the protein at 37°C for 48h, and no obvious degradation and precipitation were observed. The loss rate is less than 5% within the expiration date under appropriate storage condition.

    限制

    仅限研究用
  • 状态

    Liquid

    浓度

    0.4 mg/mL

    缓冲液

    0.01M PBS, pH 7.4, containing 0.05 % Proclin-300, 50 % glycerol.

    储存液

    ProClin

    注意事项

    This product contains ProClin: a POISONOUS AND HAZARDOUS SUBSTANCE which should be handled by trained staff only.

    储存条件

    4 °C,-20 °C

    储存方法

    Store at 4°C for frequent use. Stored at -20°C in a manual defrost freezer for two year without detectable loss of activity. Avoid repeated freeze-thaw cycles.

    有效期

    24 months
  • 抗原

    MYLK (Myosin Light Chain Kinase (MYLK))

    别名

    MYLK

    背景

    KRP, MLCK108, MLCK210, MSTP083, MLCK, s mMLCK, MYLK1, MLCK1, Telokin, Myosin Light Chain Kinase, Smooth Muscle, deglutamylated form, Kinase-related protein

    UniProt

    Q6PDN3
You are here: