PAPPA 抗体 (AA 999-1272)
Our Local Distributor
北京 101111
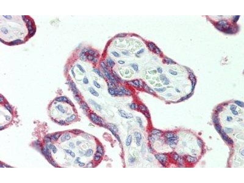
Quick Overview for PAPPA 抗体 (AA 999-1272) (ABIN7432652)
抗原
See all PAPPA 抗体适用
宿主
克隆类型
标记
应用范围
-
-
抗原表位
- AA 999-1272
-
原理
- Polyclonal Antibody to Pregnancy Associated Plasma Protein A (PAPPA)
-
特异性
- The antibody is a rabbit polyclonal antibody raised against PAPPA. It has been selected for its ability to recognize PAPPA in immunohistochemical staining and western blotting.
-
交叉反应
- 人, 大鼠
-
纯化方法
- Antigen-specific affinity chromatography followed by Protein A affinity chromatography
-
免疫原
- Recombinant Pregnancy Associated Plasma Protein A (PAPPA) corresdonding to Phe999~Asn1272 with N-terminal His and GST Tag
-
亚型
- IgG
-
-
-
-
应用备注
- Western blotting: 0.01-2 μg/mL,Immunohistochemistry: 5-20 μg/mL,Immunocytochemistry: 5-20 μg/mL,Optimal working dilutions must be determined by end user.
-
说明
-
The thermal stability is described by the loss rate. The loss rate was determined by accelerated thermal degradation test, that is, incubate the protein at 37°C for 48h, and no obvious degradation and precipitation were observed. The loss rate is less than 5% within the expiration date under appropriate storage condition.
-
限制
- 仅限研究用
-
-
-
状态
- Liquid
-
浓度
- 0.5 mg/mL
-
缓冲液
- PBS, pH 7.4, containing 0.02 % Sodium azide, 50 % glycerol.
-
储存液
- Sodium azide
-
注意事项
- This product contains Sodium azide: a POISONOUS AND HAZARDOUS SUBSTANCE which should be handled by trained staff only.
-
储存条件
- 4 °C,-20 °C
-
储存方法
- Store at 4°C for frequent use. Stored at -20°C in a manual defrost freezer for two year without detectable loss of activity. Avoid repeated freeze-thaw cycles.
-
有效期
- 24 months
-
-
- PAPPA (Pregnancy-Associated Plasma Protein A, Pappalysin 1 (PAPPA))
-
别名
- PAPPA
-
背景
- PAPP-A, PAPA, ASBABP2, DIPLA1, IGFBP-4ase, PAPPA1, Pappalysin 1, Insulin-Like Growth Factor Binding Protein-4 Protease, Differentially Placenta 1 Expressed Protein
-
UniProt
- Q8R4K8
抗原
-