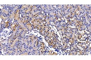
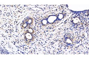
MMP7 抗体 (AA 1-267)
Our Local Distributor
北京 101111
Quick Overview for MMP7 抗体 (AA 1-267) (ABIN7431020)
抗原
See all MMP7 抗体适用
宿主
克隆类型
标记
应用范围
-
-
抗原表位
- AA 1-267
-
原理
- Polyclonal Antibody to Matrix Metalloproteinase 7 (MMP7)
-
特异性
- The antibody is a rabbit polyclonal antibody raised against MMP7. It has been selected for its ability to recognize MMP7 in immunohistochemical staining and western blotting.
-
纯化方法
- Antigen-specific affinity chromatography followed by Protein A affinity chromatography
-
免疫原
- Recombinant Matrix Metalloproteinase 7 (MMP7) corresdonding to Met1~Leu267 (Accession # P50280)
-
亚型
- IgG
-
-
-
-
应用备注
- Western blotting: 0.5-2 μg/mL,1:500-2000,Immunohistochemistry: 5-20 μg/mL,1:50-200,Immunocytochemistry: 5-20 μg/mL,1:50-200,Optimal working dilutions must be determined by end user.
-
说明
-
The thermal stability is described by the loss rate. The loss rate was determined by accelerated thermal degradation test, that is, incubate the protein at 37°C for 48h, and no obvious degradation and precipitation were observed. The loss rate is less than 5% within the expiration date under appropriate storage condition.
-
限制
- 仅限研究用
-
-
-
状态
- Liquid
-
浓度
- 500 μg/mL
-
缓冲液
- 0.01M PBS, pH 7.4, containing 0.05 % Proclin-300, 50 % glycerol.
-
储存液
- ProClin
-
注意事项
- This product contains ProClin: a POISONOUS AND HAZARDOUS SUBSTANCE which should be handled by trained staff only.
-
储存条件
- 4 °C,-20 °C
-
储存方法
- Store at 4°C for frequent use. Stored at -20°C in a manual defrost freezer for two year without detectable loss of activity. Avoid repeated freeze-thaw cycles.
-
有效期
- 24 months
-
-
- MMP7 (Matrix Metallopeptidase 7 (Matrilysin, Uterine) (MMP7))
-
别名
- MMP7
-
背景
- MPSL1, MAT, PUMP-1, Matrilysin Uterine, Matrilysin, Matrin, Pump-1 Protease, Uterine Metalloproteinase
-
UniProt
- P50280
-
途径
- Production of Molecular Mediator of Immune Response
抗原
-