UCP2 抗体 (AA 154-289)
Our Local Distributor
北京 101111
Quick Overview for UCP2 抗体 (AA 154-289) (ABIN7426532)
抗原
See all UCP2 抗体适用
宿主
克隆类型
标记
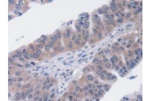
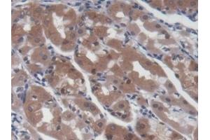
应用范围
克隆位点
-
-
抗原表位
- AA 154-289
-
原理
- Monoclonal Antibody to Mitochondrial Uncoupling Protein 2 (UCP2)
-
特异性
- The antibody is a mouse monoclonal antibody raised against UCP2. It has been selected for its ability to recognize UCP2 in immunohistochemical staining and western blotting.
-
纯化方法
- Protein A + Protein G affinity chromatography
-
免疫原
- Recombinant Mitochondrial Uncoupling Protein 2 (UCP2) corresdonding to Arg154~Val289 (Accession # P55851)
-
亚型
- IgG2b lambda
-
-
-
-
应用备注
- Western blottin:g: 0.5-2 μg/mL,Immunohistochemistry: 5-20 μg/mL,Optimal working dilutions must be determined by end user.
-
说明
-
The thermal stability is described by the loss rate. The loss rate was determined by accelerated thermal degradation test, that is, incubate the protein at 37°C for 48h, and no obvious degradation and precipitation were observed. The loss rate is less than 5% within the expiration date under appropriate storage condition.
-
限制
- 仅限研究用
-
-
-
状态
- Liquid
-
浓度
- 1 mg/mL
-
缓冲液
- 0.01M PBS, pH 7.4, containing 0.05 % Proclin-300, 50 % glycerol.
-
储存液
- ProClin
-
注意事项
- This product contains ProClin: a POISONOUS AND HAZARDOUS SUBSTANCE which should be handled by trained staff only.
-
储存条件
- 4 °C,-20 °C
-
储存方法
- Store at 4°C for frequent use. Stored at -20°C in a manual defrost freezer for two year without detectable loss of activity. Avoid repeated freeze-thaw cycles.
-
有效期
- 24 months
-
-
- UCP2 (Uncoupling Protein 2 (Mitochondrial, Proton Carrier) (UCP2))
-
别名
- UCP2
-
背景
- SLC25A8, UCPH, Solute carrier family 25 member 8 ,Uncoupling Protein 2, Mitochondrial
-
UniProt
- P55851
-
途径
- Negative Regulation of Hormone Secretion, Carbohydrate Homeostasis, Proton Transport
抗原
-