电话:
+86 (0512) 65829739
传真:
+86 (010) 6788 5057
电子邮件:
orders@antibodies-online.cn

IL12A 抗体 (AA 23-219)

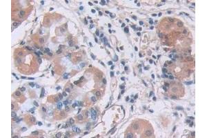
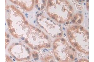
The 小鼠 单克隆 anti-IL12A antibody is suitable to detect IL12A in samples from 人. It has been validated for WB, IHC, IP 和 ICC.
产品编号 ABIN7428815
发货至: 中国
Contact our Customer Service for availability and price in your country. Contact Info

Our Local Distributor

中国
北京 101111
No. 88 KeChuang 6th Street
Beijing Economic Technological Development Area
Room 801-803
4A Biotech Co.,Ltd.
Tel +86 (0512) 65829739 传真 +86 (010) 6788 5057

Quick Overview for IL12A 抗体 (AA 23-219) (ABIN7428815)

抗原

See all IL12A 抗体
IL12A (Interleukin 12 alpha (IL12A))

适用

  • 64
  • 15
  • 7
  • 4
  • 4
  • 4
  • 1
  • 1
  • 1

宿主

  • 52
  • 21
  • 5
  • 2
  • 2
小鼠

克隆类型

  • 59
  • 23
单克隆

标记

  • 48
  • 13
  • 7
  • 2
  • 2
  • 2
  • 1
  • 1
  • 1
  • 1
  • 1
  • 1
  • 1
  • 1
This IL12A antibody is un-conjugated

应用范围

  • 58
  • 34
  • 28
  • 13
  • 11
  • 9
  • 7
  • 7
  • 6
  • 4
  • 4
  • 2
  • 1
  • 1
  • 1
  • 1
  • 1
Western Blotting (WB), Immunohistochemistry (IHC), Immunoprecipitation (IP), Immunocytochemistry (ICC)

克隆位点

C1
  • 抗原表位

    • 12
    • 8
    • 5
    • 4
    • 3
    • 2
    • 2
    • 1
    • 1
    • 1
    • 1
    • 1
    • 1
    • 1
    • 1
    • 1
    • 1
    AA 23-219

    原理

    Monoclonal Antibody to Interleukin 12A (IL12A)

    特异性

    The antibody is a mouse monoclonal antibody raised against IL12A. It has been selected for its ability to recognize IL12A in immunohistochemical staining and western blotting.

    交叉反应

    小鼠

    纯化方法

    Protein A + Protein G affinity chromatography

    免疫原

    Recombinant Interleukin 12A (IL12A) corresdonding to Arg23~Ser219 (Accession # P29459)

    亚型

    IgG2b kappa
  • 应用备注

    Western blotting: 0.5-2 μg/mL,Immunohistochemistry: 5-20 μg/mL,Immunocytochemistry: 5-20 μg/mL,Optimal working dilutions must be determined by end user.

    说明

    The thermal stability is described by the loss rate. The loss rate was determined by accelerated thermal degradation test, that is, incubate the protein at 37°C for 48h, and no obvious degradation and precipitation were observed. The loss rate is less than 5% within the expiration date under appropriate storage condition.

    限制

    仅限研究用
  • 状态

    Liquid

    浓度

    1 mg/mL

    缓冲液

    PBS, pH 7.4, containing 0.02 % Sodium azide, 50 % glycerol.

    储存液

    Sodium azide

    注意事项

    This product contains Sodium azide: a POISONOUS AND HAZARDOUS SUBSTANCE which should be handled by trained staff only.

    储存条件

    4 °C,-20 °C

    储存方法

    Store at 4°C for frequent use. Stored at -20°C in a manual defrost freezer for two year without detectable loss of activity. Avoid repeated freeze-thaw cycles.

    有效期

    24 months
  • 抗原

    IL12A (Interleukin 12 alpha (IL12A))

    别名

    IL12A

    背景

    P35, IL12-A, CLMF1, NFSK, NKSF1, Natural Killer Cell Stimulatory Factor 1, Cytotoxic Lymphocyte Maturation Factor 1, NF Cell Stimulatory Factor Chain 1

    UniProt

    P29459

    途径

    JAK/STAT Signaling, Regulation of Leukocyte Mediated Immunity, Positive Regulation of Immune Effector Process, Activated T Cell Proliferation
You are here: