电话:
+86 (0512) 65829739
传真:
+86 (010) 6788 5057
电子邮件:
orders@antibodies-online.cn

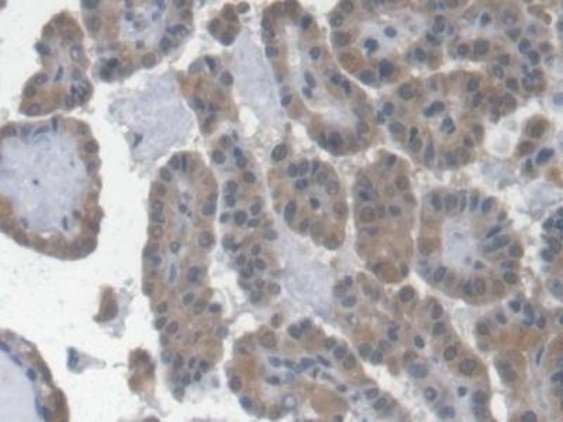
EPO 抗体 (AA 28-193)

The 小鼠 单克隆 anti-EPO antibody (Clone C3) (ABIN7425611) specifically detects EPO in WB 和 IHC. The antibody is reactive with 人 samples.
产品编号 ABIN7425611
发货至: 中国
Contact our Customer Service for availability and price in your country. Contact Info

Our Local Distributor

中国
北京 101111
No. 88 KeChuang 6th Street
Beijing Economic Technological Development Area
Room 801-803
4A Biotech Co.,Ltd.
Tel +86 (0512) 65829739 传真 +86 (010) 6788 5057

Quick Overview for EPO 抗体 (AA 28-193) (ABIN7425611)

抗原

See all EPO 抗体
EPO (Erythropoietin (EPO))

适用

  • 162
  • 33
  • 25
  • 7
  • 6
  • 4
  • 4
  • 4
  • 3
  • 1
  • 1
  • 1

宿主

  • 117
  • 78
  • 5
  • 2
  • 1
小鼠

克隆类型

  • 111
  • 92
单克隆

标记

  • 109
  • 18
  • 13
  • 7
  • 4
  • 4
  • 4
  • 4
  • 4
  • 4
  • 4
  • 4
  • 3
  • 2
  • 2
  • 1
  • 1
  • 1
  • 1
  • 1
  • 1
  • 1
  • 1
  • 1
  • 1
  • 1
  • 1
  • 1
  • 1
  • 1
  • 1
  • 1
This EPO antibody is un-conjugated

应用范围

  • 124
  • 81
  • 67
  • 42
  • 32
  • 22
  • 20
  • 19
  • 13
  • 13
  • 11
  • 8
  • 8
  • 5
  • 4
  • 4
  • 4
  • 3
  • 3
  • 2
  • 2
  • 2
  • 2
  • 1
  • 1
  • 1
  • 1
  • 1
Western Blotting (WB), Immunohistochemistry (IHC)

克隆位点

C3
  • 抗原表位

    • 46
    • 16
    • 14
    • 11
    • 10
    • 6
    • 5
    • 5
    • 4
    • 4
    • 3
    • 3
    • 3
    • 3
    • 3
    • 3
    • 2
    • 2
    • 1
    • 1
    • 1
    • 1
    • 1
    • 1
    AA 28-193

    原理

    Monoclonal Antibody to Erythropoietin (EPO)

    特异性

    The antibody is a mouse monoclonal antibody raised against EPO. It has been selected for its ability to recognize EPO in immunohistochemical staining and western blotting.

    交叉反应

    大鼠

    纯化方法

    Protein A + Protein G affinity chromatography

    免疫原

    Recombinant Erythropoietin (EPO) corresdonding to Ala28~Arg193 with N-terminal His and GST Tag

    亚型

    IgG1 kappa
  • 应用备注

    Western blotting: 0.01-2 μg/mL,Immunohistochemistry: 5-20 μg/mL,Immunocytochemistry: 5-20 μg/mL,Optimal working dilutions must be determined by end user.

    说明

    The thermal stability is described by the loss rate. The loss rate was determined by accelerated thermal degradation test, that is, incubate the protein at 37°C for 48h, and no obvious degradation and precipitation were observed. The loss rate is less than 5% within the expiration date under appropriate storage condition.

    限制

    仅限研究用
  • 状态

    Liquid

    浓度

    1 mg/mL

    缓冲液

    0.01M PBS, pH 7.4, containing 0.05 % Proclin-300, 50 % glycerol.

    储存液

    ProClin

    注意事项

    This product contains ProClin: a POISONOUS AND HAZARDOUS SUBSTANCE which should be handled by trained staff only.

    储存条件

    4 °C,-20 °C

    储存方法

    Store at 4°C for frequent use. Stored at -20°C in a manual defrost freezer for two year without detectable loss of activity. Avoid repeated freeze-thaw cycles.

    有效期

    24 months
  • 抗原

    EPO (Erythropoietin (EPO))

    别名

    Erythropoietin

    物质类

    Hormone

    背景

    EP, Epoetin, Erythropoetin, Hematopoietin, Hemopoietin

    UniProt

    P01588

    途径

    JAK/STAT Signaling, Hormone Activity, Negative Regulation of intrinsic apoptotic Signaling, Negative Regulation of Transporter Activity
You are here: